- Elazığ'da 3 yaşındaki bir çocuk, yuttuğu 19 mıknatıs nedeniyle hastaneye kaldırıldı.
- Prof. Dr. Yaşar Doğan, çocuk hastanın yemek borusundan mıknatısları başarılı bir operasyonla çıkardı.
- Çocuğun sağlık durumu iyi ve taburcu edildi.
AI özetimiz yardımcı oldu mu? Bize bildirin.
Erzurum'da bir çocuk, evde bulunan 19 tane mıknatısı yuttu.
Çocuğun rahatsızlanması sonucu durumu öğrenen aile, hastaneye başvurdu.
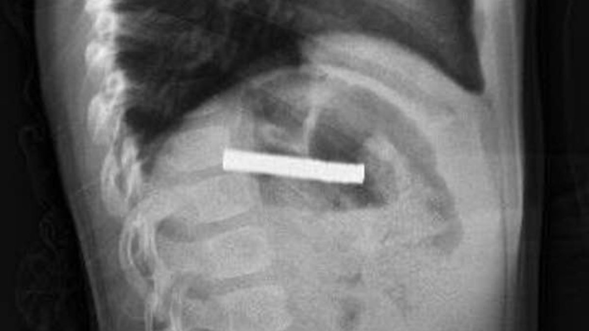
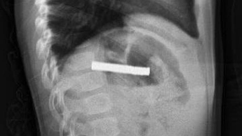
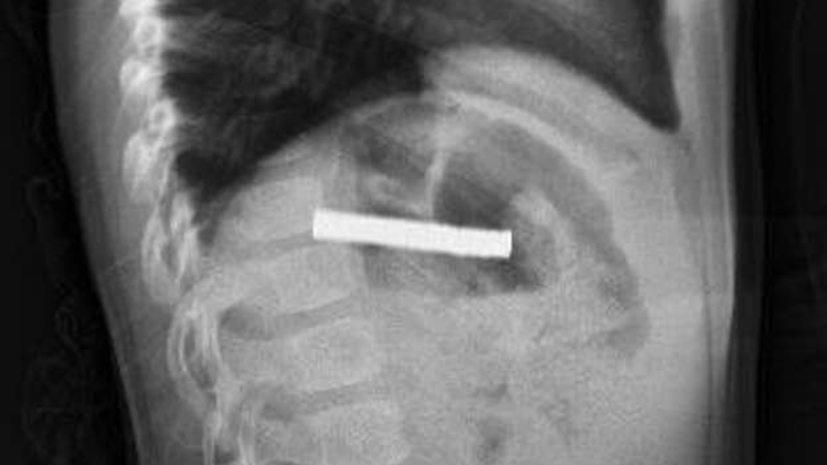
BOĞAZINDAN 19 ADET MIKNATIS ÇIKARILDI
Daha sonra çocuk Elazığ'a sevk edildi.
Fırat Üniversitesi Çocuk Gastroenteroloji Hepatoloji ve Beslenme Bilim Dalı Başkanı Prof. Dr. Yaşar Doğan, çocuk hastanın yemek borusuna yapışmış 19 mıknatısı endoskopik yöntemle çıkardı.
Mıknatıslar uzun süre yemek borusunda takılı kaldığı için yemek borusu ve mide girişinde zedelenmeler olurken, çocuğun sağlık durumunun iyi olduğu ve taburcu edildiği öğrenildi.

