Koronaya yakalanan 15 yaş altı çocuklarda ciddi akciğer tutulumları görüldü

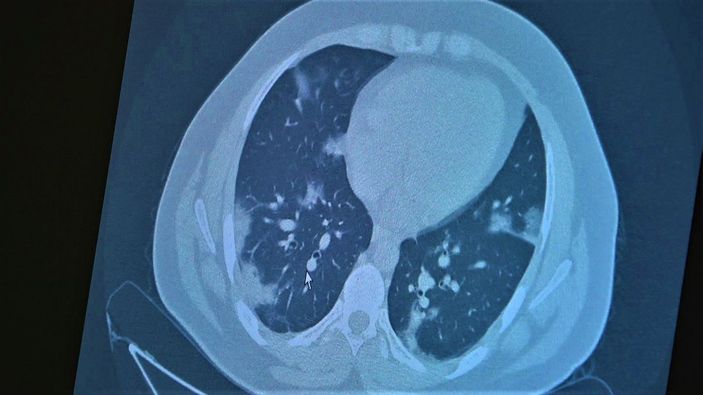
Mutasyon geçiren koronavirüsün, artık aşısız çocuklarda da ciddi zararlara yol açtığını belirten Prof. Dr. Özkaya, 11 ve 14 yaşlarında korona geçirmiş çocukların akciğer tomografisini gösterdi.

Tüm dünyayı etkisi altına alan koronavirüs ile mücadele kapsamında aşılama çalışmaları aralıksız sürüyor.

Her yaştan insanı etkisi altına alan koronavirüs, aşısız gençleri de ciddi şekilde etkiledi.

Geçen senelerde yaşlı insanlara daha fazla zarar veren koronavirüs, yeni mutasyonlarıyla artık aşısız çocuk ve gençlere verebileceği en yüksek zararı vermeye başladı.

Neredeyse 14 binin üzerinde korona hastasını tedavi eden Prof. Dr. Özkaya, virüsün ‘düşünen bir organizma’ gibi hareket ettiğini belirterek, şu açıklamalarda bulundu:

“Önceden geçen yıllarda çocuklarda bu hastalığın görülmediğini gönül rahatlığıyla söylüyorduk. Çocukların bu hastalıkta şanslı olduğunu söylüyorduk. Şu an gerçekten 10 yaş üstünde sadece enfekte olmakla kalmayarak ciddi akciğer tutulumlarıyla gelen çocuklarımız var.

“VİRÜS GERÇEKTEN AKILLI BİR ORGANİZMA GİBİ ÇALIŞIYOR”

Artık bu hastalık çocukların ve gençlerin hastalığı olarak biliniyor. Virüs gerçekten akıllı bir organizma gibi çalışıyor. Her mutasyonda insanoğluna verebileceği zararın bir tık daha fazlasını veriyor. Geçen yıllarda çocuklarda gebelerde görülmeyen dediğimiz ciddi akciğer tutulumları yeni dönemde görülmeye başladı.

“OKULLARIN AÇIK KALMASI ZOR GİBİ GÖRÜNÜYOR”

Vaka sayıları bu şekilde artmaya devam ederse çocuklarda ciddi akciğer tutulumları görülmeye devam ederse okulların açık kalması zor gibi görünüyor. Çocuklardan kaybımız yok. Ölen çocuklarımız yok ama geçen yıl enfekte olmayan çocuklarımız bu sene enfekte olmaya başladı. Yılbaşından sonra bu hastalıktan dolayı çocuklarımızı kaybetmeye başlarsak eğitime ara verilebilir.

Koronaya yakalanan 15 yaş altı çocuklarda ciddi akciğer tutulumları görüldü VİDEO

“12 YAŞ ÜSTÜ ÇOCUKLARIN MUTLAKA AŞILANMASI GEREKİYOR”

Okulların kapanmasıyla düşünün anne veya babadan biri evde kalmak zorunda. İş hayatı etkilenecek. Bunun için yapılması gereken tek şey aşıdır. 12 yaş üstü çocuklarımızın mutlaka aşılanması gerekiyor.”

“ÇOCUKLARIMIZI KAYBETMEYE BİLE BAŞLAYABİLİRİZ”

Çocukların akciğer tomografilerini inceleyen Özkaya, açıklamalarına şu ifadeler ile devam etti:

“11 yaşında kovid pozitif bir öğrencimiz, yüksek ateş ve nefes darlığı ile bize geldi. Ciddi akciğer tutulumu var. Geçen yıl ‘bu çocuklar hastalıktan etkilenmiyor’ diyorduk. Bu çocukta görüyorsunuz buzlu camlar ve konsolidasyon alanlarla seyrediyor. Geçen yıl bu şekilde çok çocuk görmüyorduk. Önümüzdeki aylarda bu şekilde devam ederse çocuklarımızı kaybetmeye bile başlayabiliriz.

“HASTALIK 30-40 YAŞ ALTI GENÇLERDE GÖRÜLMEYE BAŞLADI”

14 yaşında pozitif olan bir diğer çocuğumuz ise aşı randevusu almış ama aşısını olmadan ateş ve öksürükle başvurdu. Halen şanslıyız. Çocuklar çok hızlı tedaviye yanıt veriyor. Düzeldi. Çekilen tomografisinde ise bilaterel yaygın tutulumları vardı. Bu ise 24 yaşında genç hastanın akciğer tomografisi. Bu kişide yaygın akciğer tutulumları görüldü. Bunu da tedavi ettik. Önümüzdeki aylarda ne getirecek ne götürecek beraber göreceğiz. Özellikle havaların soğumasıyla kapalı ortamlarda geçilen zamanın ve kalabalıkların etkisiyle vaka sayılarının önümüzdeki günlerde artacağını biliyoruz. Şu an gerçekten hastalık gençlerde 30 -40 yaş altı gençlerde görülmeye başladı. Poliklinik şartlarında olanların büyük bir kısmı 30 yaş altı hastalar. Servislerde yatanlarda orta yaş ve altı nüfus. Yoğun bakımda yatanların büyük bir kısmı ise aşısız erişkin insanlardan oluşuyor.”