Ağzınızı açmaktan utanmayın! Kimse sizden uzaklaşmayacak...

Kimliğinizi ve kişiliğinizi ön plana çıkaran ve dışarıya hakkınızda mesaj veren ağzınız hakkında yeterli bilgiye sahip misiniz? Düzenli bakımlarınızı yapıyor musunuz? Ağız bakımınıza dikkat etmediğinizde ortaya çıkan diş taşlarının nelere sebep olabileceğini merak ediyorsanız buyrun yazımıza...

Dişler bizim kimliğimizdir. Bizim kişiliğimizi en çok gösteren noktalardan biridir diyebiliriz.

Peki bu kadar önemli olan dişlere yeteri kadar özen gösteriliyor mu? Düzenli bakım ve kontroller yapılıyor mu?

Dişlerinizin sizi ne kadar temsil ettiğini bilseydiniz onlara daima özenli davranırdınız...

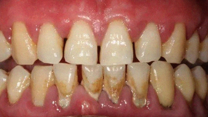
Dişlerde bakımsızlıktan veya çeşitli etkilerden ortaya çıkan diş taşı ağız için çirkin bir görüntü olmakla beraber sağlık için de tehlikelidir.

İşte bu yazımızda diş taşını ele aldık...

Diş taşının temizliğini kalıcı ve temiz olarak sadece doktorlar temizleyebilir.

Diş üzerinde oluşan plaklar zamanla diş taşının oluşmasına sebep olur ve eğer zamanında bakım, temizlik yapılmazsa çürüklere ve daha fazla çeşitli diş eti hastalıklarının oluşmasına sebep olabilir.

Neden oluşur?

Dişlerin üzerinde plakların sertleşmesiyle tartar oluşur ve bu zamanla diş taşına dönüşür. Plak ise ağızdaki yapışkan tabakadır. Bakteri, artık vs içerir.

Plaklar eğer düzenli ağız bakımı yapılmazsa diş taşına dönüşür ve rahatsız edici bir görünüme sebep olur.

Diş taşı dişlerin dip kısımlarında oluşur. 

Nasıl temizlenir?

Diş çürükleri ve çeşitli diş rahatsızlıkları istemiyorsanız dişlerinizi düzenli olarak fırçalamalı ve diş ipi kullanımı yapmalısınız.

Fakat yine de taşın oluşmasından kaçınamayacak bir durumdaysanız yapmanız gereken şey diş hekiminin kapısını çalmaktır…

Hekimler diş taşı olan ağızlarda farklı biçimlerde temizleme yaparlar ve bu yüzden düzenli olarak bu temizliği aksatmamak sağlık için önemli bir adım olacaktır. 

Nasıl önlenir?

Diş fırçalama: 

Yumuşak ve rahat bir fırça ile dişlerin günde en az iki defa fırçalanması diş taşının oluşmasını engelleyebilecek önemli bir uygulamadır. 

Diş ipi kullanımı:

 Diş ipi ince ve rahat şekli ile diş fırçasının ulaşamadığı yerlere kolayca girerek, artıkların kirlerin sabit kalmasını engeller ve diş köklerinde birikme olma ihtimalini azaltır. 

Gargara yapmak:

Düzenli diş fırçalama ve diş ipi kullanımı yaptıktan sonra antiseptik gargara ile de son dokunuşu yapmak taşın oluşmasına sebep olabilecek bakterilerin oluşmasını engeller ve olanları da yok eder. 

Sigara kullanmamak:

Sigara sağlık için başlıca zararlı bir maddedir. Bu zararlı maddeyi ağız yolu ile vücuda alınır. Tam da bu yüzden sigara dişlerde lekelenme yaptığı kadar, diş taşının oluşumunu sağlayacak olan bakterilere alan açmaya olanak sağlayan bir faktördür.

Sigara tüketimi mümkün oldukça azaltılmalı hatta tamamen bırakılmalıdır. 

Diş kontrollerini düzenli takip etmek:

Düzenli bir şekilde diş hekimine belli aralıklarla gitmek ağızdaki her türlü hasralığın erken teşhisine olanak sağlar.

Düzenli gitmek aynı zamanda ağızda oluşan her olumsuzluğa daha erken süreçlerde engel olabilmeyi sağlar. 

Kimlerde görülür?

1) Ağız bakımını düzenli olarak yapmayanlarda

2) Yaşı ilerlemiş olanlarda

3) Sigara kullananlarda

4) Dengesiz ve düzensiz beslenenlerde

5) Düzgün biri diş ağız düzeni olmayanlarda

6) Tükürük salgısı düzenli olmayanlarda

7) Düzenli olarak bazı ilaçları kullananlarda diş taşı oluşumu gözlemlenir.

Bu maddelerden herhangi bir tanesine uyuyorsanız doktor ziyaretlerinizi aksatmamanız daha sağlıklı olacaktır. 

Sağlıkla kalın!