Lafora nedir

Genellikle gençlerde görülen, olağandışı ve ölümcül bir genetik epilepsi türü olan lafora hakkında merak edilenler...

Genetik bir epilepsi türü olan lafora, ölümcül olmasıyla bilinir.

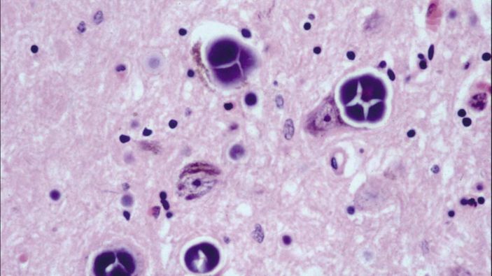
Lafora hastalığından sorumlu genler altıncı kromozomda bulunur. Bu hastalığı olan hastalar, hücrelerinde Lafora cisimleri olarak bilinen anormal yapılar geliştirir.

Kesin bir tedavisi bulunmauan lafora hastalığı, özellikle genç yaşlarda görülmesiyle oldukça travmatik olabilir.

Kısa süre içinde hızla ilerleyen hastalık, yaşam fonksiyonlarını da olumsuz etkiler.

Lafora belirtileri

Lafora hastalığı olan hastalar, bazen semptomların başlangıcı erken ya da geç olmasına rağmen, genellikle orta yaşlarında, progresif miyoklonik epilepsi geliştirir.

Hasta halüsinasyonlar, nöbetler, kas konvülsiyonları ve kas koordinasyonunda zorluk yaşayabilir. Ayrıca demans geliştirir ve düzensiz düşünce, zayıf dürtü kontrolü ve kötü hafıza sergileyebilir.

Lafora tedavisi

Laforanın henüz kanıtlanmış bir tedavisi yoktur ancak klinik çalışmalar sürmektedir.