Afyonkarahisar'da tedavi sırasında implant dişleri soluk borusuna kaçtı

Bir kişinin diş tedavisi sırasında soluk borusuna kaçan iki implant müdahalenin ardından başarıyla alındı.

Afyonkarahisar'da, akıllara durgun veren bir olay yaşandı. 

56 yaşındaki Belçika vatandaşı Demet Kaplan, Belçika'da yaşadığı süre boyunca diş tedavisi için geldiği Türkiye'nin Emirdağ ilçesinde talihsiz bir olay yaşadı.

Demet Kaplan, diş tedavisi için bir kliniğe başvurdu.

2 implant düştü 

Ancak tedavi sırasında meydana gelen bir komplikasyon sonucunda yaşananlar oldukça tehlikeli bir duruma yol açtı.

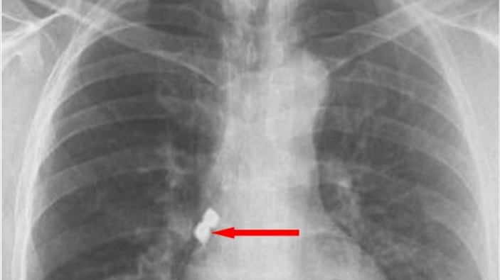
Operasyon sırasında birbirine yapışık olan 2 implant hastanın dişinden düştü.

Dişi soluk borusuna kaçtı 

Kaplan, yutkununca implantlar soluk borusuna kaçarak burayı tıkadı.

İmplant çıkarıldı 

Nefes almakta zorlanan Kaplan, Emirdağ Devlet Hastanesinde yapılan ilk müdahalenin ardından Afyonkarahisar'da başka bir hastaneye sevk edildi.

Kaplan'ın akciğer girişinden implantlar başarıyla çıkarıldı.