Diş taşı temizliğinde bilinmesi gerekenler: Enfeksiyona neden olur mu

Diş taşlarının temizlenmesinin ileride ortaya çıkabilecek "ileri derece" hastalıkları önlediği ortaya çıktı.

Diş taşı temizliği genellikle profesyonel bir diş hekimi tarafından yapılan güvenli bir işlemdir ve enfeksiyona neden olmaz.

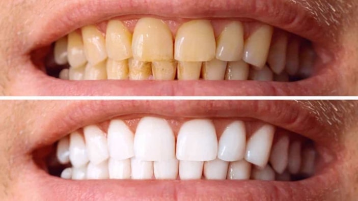
Bakterilerin plaklar halinde taşlaşması neticesinde oluşan diş taşları, hastaları hem fonksiyonel hem de estetik olarak etkiliyor. 

Ancak dikkat edilmesi gereken bazı durumlar vardır.

Bu durumlar ise şu şekilde: 

ENFKESİYON RİSKİ VAR MI

Normal şartlarda diş taşı temizliği enfeksiyona yol açmaz.

Aksine, temizlenmeyen diş taşları zamanla diş eti hastalıklarına (örneğin, gingivit veya periodontitis) ve enfeksiyonlara neden olabilir.

NADİREN KARŞILAŞILAN DURUMLAR

Diş eti hassasiyeti:

Temizlik sonrası diş etlerinde hafif hassasiyet veya kanama olabilir. Bu durum genellikle geçicidir.

Aseptik koşullar:

İşlem sırasında kullanılan aletlerin steril olması enfeksiyon riskini sıfıra yakın tutar.

İyi bakım:

Diş taşı temizliği sonrası hijyen kurallarına dikkat edilmezse enfeksiyon riski artabilir.

NELERE DİKKAT ETMELİYİZ

İşlem sonrası diş hekiminizin önerdiği ağız bakımına dikkat edin.

Günde en az iki kez dişlerinizi fırçalayın ve diş ipi kullanın.

Diş taşı temizliğinden sonra kısa süreli bir hassasiyet yaşanıyorsa tuzlu su ile gargara yapılabilir.

EĞER AĞRI VE ŞİŞLİK VARSA...

Eğer işlem sonrası uzun süren ağrı, şişlik veya iltihap belirtileri varsa mutlaka diş hekiminize başvurun.

Diş hekiminizin tecrübesi ve sterilizasyon konusundaki titizliği enfeksiyon riskini minimuma indirir.

NEDEN DİŞ TAŞI TEMİZLİĞİ YAPILMALI

Diş eti iltihabı ve periodontal hastalıkları önlemek

Ağız kokusunu azaltmak

Diş çürüklerini önlemek

Dişlerin doğal rengini korumak

NE SIKLIKLA YAPILMALI

Diş taşı oluşumu kişisel ağız bakım alışkanlıklarına göre değişebilir. Genellikle yılda 1-2 kez diş taşı temizliği önerilir.

DİŞ TAŞI TEMİZLİĞİNDEN SONRA AMAN DİKKAT!

İşlemden hemen sonra sıcak veya soğuk içecekler tüketmekten kaçının.

İlk birkaç gün hassasiyet olabilir, bu durum genellikle geçicidir.

Diş hekiminin önerdiği diş macunlarını ve fırçalama tekniklerini uygulayın.