Adana'da maganda kurşunu küçük kıza isabet etti
Adana’da, husumetli iki aile arasında çıkan kavga sırasında ateşlenen tabancadan çıkan mermi, bu sırada sokakta oyun oynayan 7 yaşındaki Yağmur Demir'in sırtına isabet etti.
Adana'da 5 Ocak günü saat 14.00 sıralarında merkez Seyhan ilçesi Gülbahçesi Mahallesi’nde meydana gelen olayda Mesut D., bisikletiyle arsa meselesi yüzünden husumetli oldukları Eyüp U.’nun otomobilinin dikiz aynasına çarptı.
Eyüp U. ile Mesut D. arasında bu nedenle çıkan tartışma, kısa sürede kavgaya dönüştü. Kavgaya Mesut D.'nin akrabası Abdulkadir D. ile Eyüp U.'nun akrabaları Şahin U. (31), Ramazan U. (26), Derviş U. (36) ve Halil U. da (59) dahil oldu.
Kavgada Abdulkadir D. kalçasından bıçaklandı, Mesut D. ise başına aldığı sopa darbesiyle yaralandı.
OYUN OYNAYAN YAĞMUR SIRTINDAN VURULDU
Kavga sırasında Ramazan U.'nun ateşlediği tabancadan çıkan mermi, bu sırada sokakta oyun oynayan Yağmur Demir’in sırtına isabet etti. Yağmur’un kanlar içerisinde yığıldığını gören şüpheliler, kaçtı.
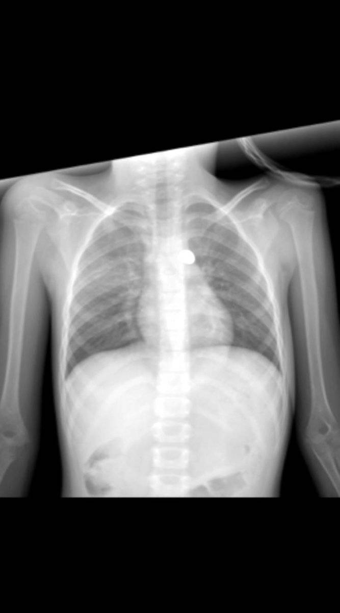
MERMİ ÇIKARILAMADI
İhbar üzerine bölgeye çok sayıda polis ve sağlık ekibi sevk edildi. 3 yaralı, ambulanslarla hastaneye kaldırıldı. Yağmur Demir, götürüldüğü özel hastanedeki ilk müdahalesinin ardından Çukurova Üniversitesi Tıp Fakültesi Balcalı Hastanesi’ne sevk edildi. Burada tedaviye alınan küçük Yağmur’un sırtındaki, omuriliğine yakın olduğu belirlenen mermi, riskli olduğu gerekçesiyle çıkarılamadı.
ŞÜPHELİLER ‘PİŞMANIZ’ DEDİ
İl Emniyet Müdürlüğü Asayiş Şube Müdürlüğü Cinayet Büro Amirliği ekipleri, bölgedeki güvenlik kamerası görüntülerinden kavgaya karışan şüphelilerin kimliğini belirledi. Şüpheliler Ramazan U., Derviş U., Halil U. ve Şahin U. evlerine yapılan baskınla gözaltına alındı. Emniyete götürülen şüpheliler, ifadelerinde pişman olduklarını söyledi.
Emniyetteki işlemlerinin ardından sevk edildikleri adliyede mahkemeye çıkarılan şüphelilerden silahı kullanan Ramazan U. ile Derviş U. tutuklandı, Halil U. ile Şahin U. ise adli kontrol şartıyla serbest bırakıldı.




