İran uyruklu uyuşturucu şüphelisinin midesindeki 890 gram metamfetamin, ameliyatla çıkarıldı.
Van'dan otobüs ile Ankara'ya gelen İran uyruklu Zadeh Ahmed Narziveh, Ankara Şehirlerarası Terminal İşletmesi'nde fenalaştı.
Zarziveh, çevredekilerin haber vermesiyle gelen 112 Acil Servis ekiplerinin ilk müdahalesinin ardından Ankara Şehir Hastanesi'ne kaldırıldı.
2'Sİ PATLAMIŞ 72 KAPSÜL ÇIKARILDI
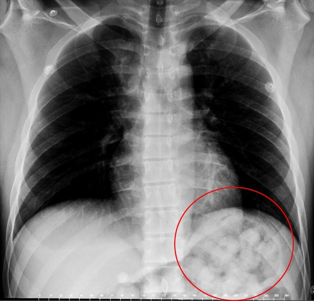
Tedavi altına alınan Narziveh'in çekilen röntgen filminde midesinde cisim tespit edildi. Ameliyata alınan Zarziveh'in midesinden 2'si patlamış 72 adet kapsül halinde uyuşturucu madde çıkarıldı.
Doktorlar durumu polise bildirdi. Gelen polis ekiplerinin yaptığı incelemede 890 gram uyuşturucu maddenin metamfetamin olduğu belirlendi.

TEDAVİSİ 5 GÜN SÜRDÜ
Narziveh, 5 gün süren tedavisinin ardından Narkotik Mücadele Şube Müdürlüğü ekiplerince gözaltına alınarak emniyete götürüldü.
10 gün önce İstanbul'dan Van'a gittiği ve oradan da Ankara'ya geldiği saptanan şüpheli Narziveh, poliste susma hakkını kullanarak ifade vermedi.


