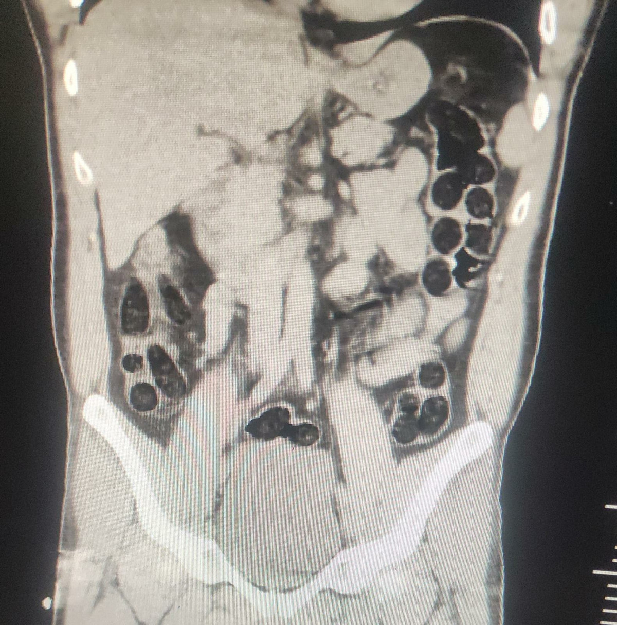
Batman'da İranlı yolcunun midesinden eroin çıktı
Otobüsle seyahat eden İran uyruklu 2 şüpheliden birinin midesinden 76 paket halinde 714 gram eroin çıktı. Olayla ilgili gözaltına alınan 2 şüpheli tutuklandı.
Otobüsle batı illerine uyuşturucu madde sevkiyatı yapılacağı bilgisi üzerine, Batman Cumhuriyet Başsavcılığı koordinesinde, İl Emniyet Müdürlüğü Narkotik ve Kaçakçılık ve Organize Suçlarla Mücadele şube müdürlükleri ekipleri harekete geçti.
Ekiplerce 11 Ocak günü çalışma yapıldı.
Yapılan yol kontrollerinde durdurulan otobüsteki İran uyruklu 2 kişi, şüpheli tavırları üzerine gözaltına alındı.
Midesinden eroin çıktı
Hastanede çekilen röntgenlerinde birinin midesinde uyuşturucu tespit edildi. Şüphelinin, 76 paket halinde 714 gram eroini doğal yollarla çıkarılması sağlandı.
Şüpheliler, emniyetteki işlemlerinin ardından sevk edildikleri adliyede çıkarıldıkları mahkemece tutuklanarak cezaevine gönderildi.



Kaynak:
Demirören Haber Ajansı (DHA)