İpekyolu ilçesinde diş tedavisi sırasında implant vidası soluk borusuna kaçan hasta, başarılı müdahale sonucu sağlığına kavuştu.
Van'ın İpekyolu ilçesinde şaşkınlık yaratan olay...
F.T. isimli hasta, dış merkezli bir diş kliniğinde implant tedavisi gördüğü sırada, implant vidası yanlışlıkla soluk borusuna kaçtı.
Nefes borusuna kaçan vida nedeniyle hasta, ileri tetkik ve tedavi amacıyla Van Eğitim ve Araştırma Hastanesi'ne sevk edildi.
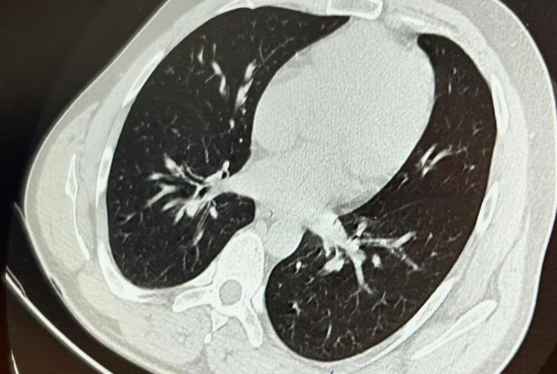
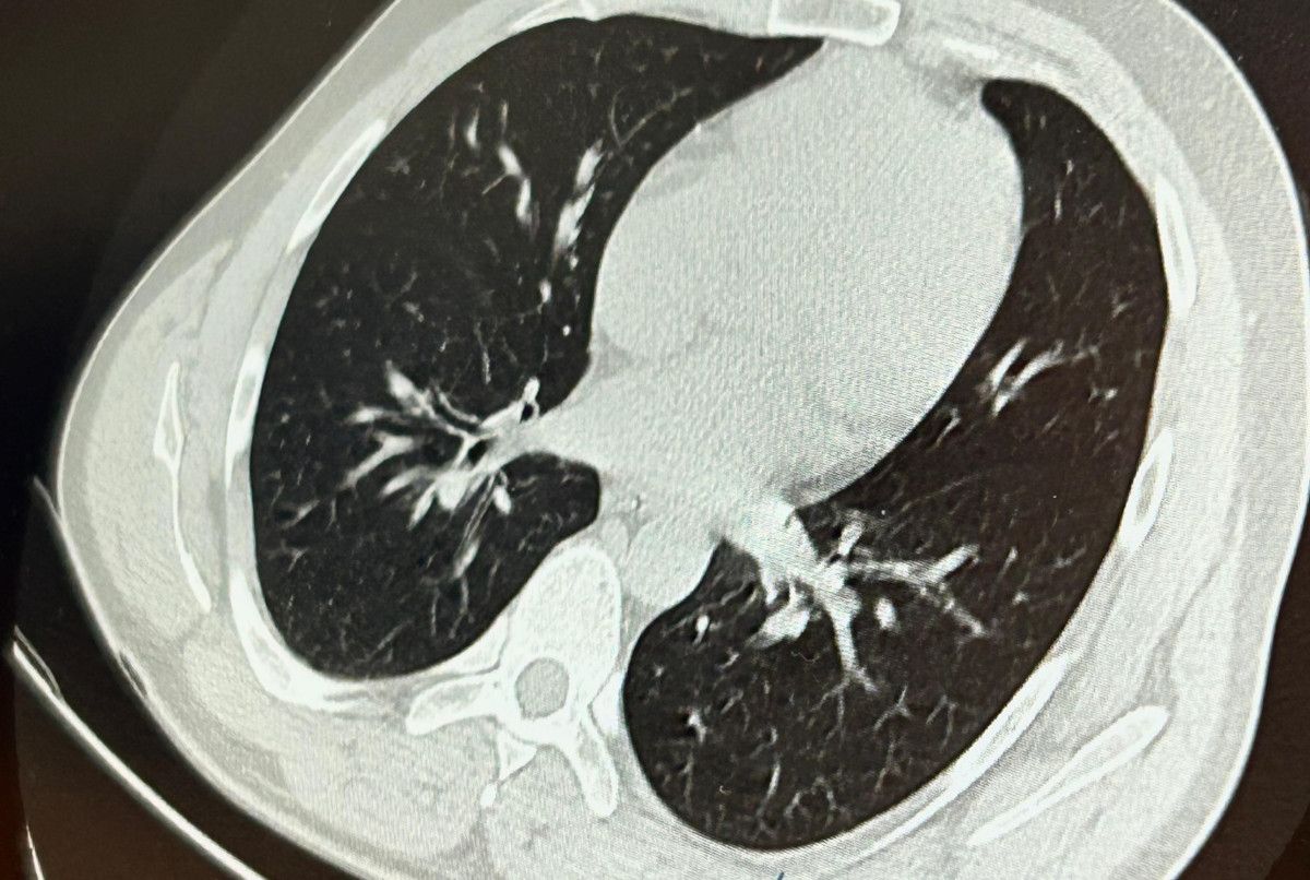
SOL AKCİĞERİN ÜST LOBUNA SAPLANDIĞI TESPİT EDİLDİ
Hastaya bronkoskopi işlemi uygulandı.
Sol akciğerin üst lobunda saplanmış şekilde tespit edilen vida, vidalı yapısı ve bulunduğu konum nedeniyle güçlükle yerinden oynatılabildi.

DOĞAL YOLLARLA VÜCUTTAN ATILDI
Yapılan uzun ve titiz müdahale sonrası vida yerinden çıkarılamasa da hasta bir süre sonra geçirdiği öksürükle birlikte implant vidasını midesine gönderdi.
Vida, daha sonra doğal yollarla vücuttan atıldı.

"İLK DENEMEDE TAMAMEN ÇIKARILAMADI"
Konuya ilişkin konuşan Göğüs Cerrahi Op. Dr. Sadullah Aksoy, bir diş merkezinde diş tedavisi sırasında hastanın çenesine yerleştirilen implantın vida kısmının işlem esnasında yanlışlıkla aspire edildiğini belirtti.
İlk olarak hastanenin ek hizmet binasında çekilen tomografi sonucunda, vidanın sol akciğerin hava yollarının yaklaşık dördüncü dalına kadar ilerlediği tespit edildiğini ifade eden Op. Dr. Aksoy, şunları kaydetti:
Geçtiğimiz cumartesi günü öğle saatlerinde tarafımıza ulaşıldığında, hastanın Van Eğitim ve Araştırma Hastanesi'ne yönlendirilmesini istedik. Burada acil bronkoskopi planı yapılarak hasta kabul edildi. Hasta geldiğinde genel durumu iyiydi; solunumunu tamamen engelleyen bir bronş tıkanıklığı söz konusu değildi.
Aynı gün hastamızı hazırladık. Bronkoskopi sırasında, implant vidasının sol üst lobun anterior segment bronşuna saplanmış pozisyonda olduğunu gördük. Üroloji bölümünde taş çıkarma işlemlerinde kullanılan cihazla müdahale ettik.
İlk denemede implant tamamen çıkarılamadı ancak yerinden oynatılabildi. Bunun üzerine bir süre bekleyip hastayı yeniden bronkoskopi için hazırlamaya başladık. İşlem yaklaşık 3,5-4 saat sürdü ve saat 18.30 civarında hasta işlemden çıkarıldı.

"ÖKSÜRÜK SONRASI AKCİĞERDEN ÇIKTI"
Daha sonra hasta için yeniden bronkoskopi planladıklarını ancak bu süreçte hasta şiddetli bir öksürük geçirdiğini anlatan Aksoy, "Şiddetli öksürük sonrası yapılan kontrol akciğer filminde implant vidası görünmedi.
Bunun üzerine toraks ve batın BT (bilgisayarlı tomografi) görüntülemesi istedik. Sonuçlarda implantın akciğerden çıktığı ve vücutta herhangi bir yerde bulunmadığı tespit edildi" diye konuştu.