Düzce Üniversitesi Tıp Fakültesi Hastanesi Ortopedi ve Travmatoloji Kliniği’nde gerçekleştirilen operasyonda, eklem faresi olarak da bilinen multipl sinovial kondromatozisi başarılı geçen ameliyatla artroskopik olarak çıkartıldı.
Diz ağrısı şikayetiyle giden hastadan çıkanlar şaşırttı..
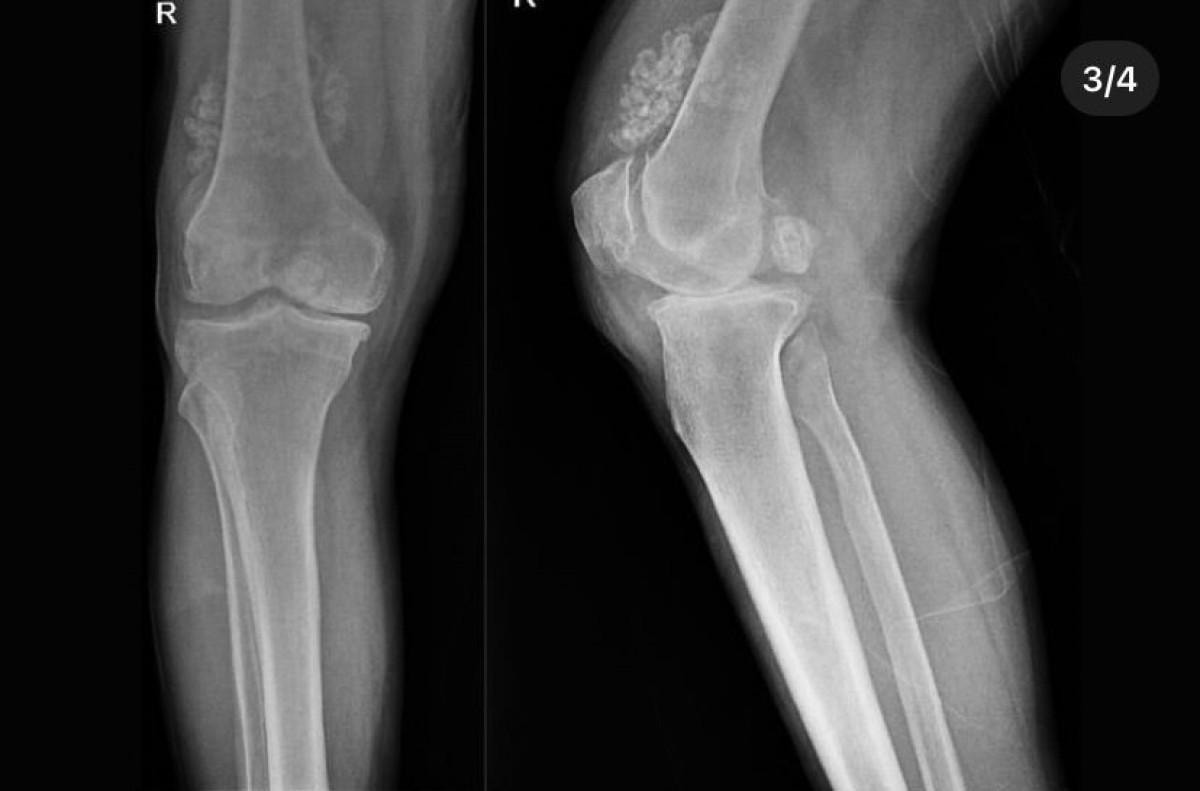
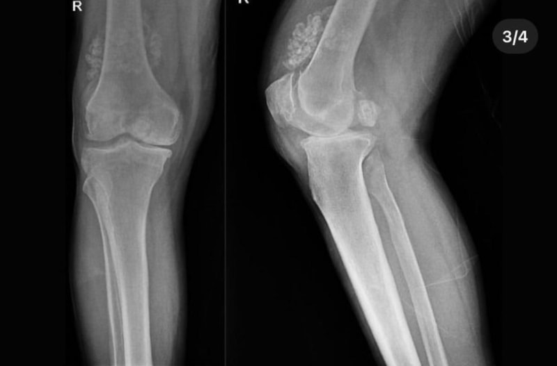
Doktorlar, Düzce Üniversitesi Tıp Fakültesi Hastanesi'nde tedavi gören hastanın diz eklemi çevresinde "multipl sinovial kondromatozi" gördü.
41 tane eklem faresi çıktı
Bunun üzerine ameliyata alınan hastanın dizinden 41 adet eklem faresi de denilen kemik parçası çıkarıldı.
Multipl sinovial kondromatoz nedir
Özellikle diz eklemi çevresinde görülmekle birlikte kalça, dirsek ve diğer eklemlerde de görülen, ufak parçalardan oluşan cisimler olarak tanımlanan eklem faresi, eklem çevresinde eklem sıvısı ya da sinoviyumda görülen kıkırdak ya da kemik parçalarıdır.
Eklem farelerinin boyutları birkaç milimetreden birkaç santimetreye kadar çıkabiliyor.

Kaynak: İhlas Haber Ajansı (İHA)