Brezilya’da Oswaldo Cruz Vakfı’ndan bilim adamları, koronavirüsün sağlıklı hücrelere etki ettiği anların fotoğrafını çekti.
Elektron mikroskobu yardımıyla kayıt altına alınan görüntülerde, virüs partiküllerinin hücreye girişi ve sonrasında çoğalmaya başladığı anlar yer alıyor.
MİKROSKOPLA GÖRÜNTÜLENDİ
Çoğalma aşamasındaki virüs, başka hücrelere yayılırken diğer taraftan da üremesini sürdürüyor.
Araştırma ekibi, enfekte bir hastanın burnundan ve boğazından toplanan örneklerden izole edilen virüsleri kullandı.
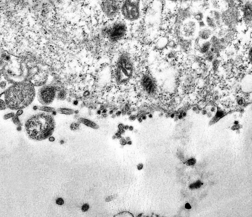
HÜCRE DUVARINDAN GEÇİŞ ANI
Görüntülerde siyah noktalar, koronavirüsü temsil ediyor. Virüsün, hücre zarı duvarından sitoplazmaya girişi görülüyor.

HÜCRELER, VİRÜSÜN ÇOĞALMASI İÇİN UYGUN
Oswaldo Cruz Enstitüsü’nden Dbora Ferreira Barreto-Vieira, "Amacımız bu hücrelerin virüsün çoğalması için uygun olup olmadığını anlamaktı ve öyle olduğunu tespit ettik." dedi.

KOMŞU HÜCRELERE DE ZARAR VERİYOR
Dünya Ekonomik Forumu'ndan Nick Routley, RNA virüsünün hücreye girdiğinde hücrelerin bu aşamada öldürüldüğünü söyledi.
Böylece, komşu hücreleri enfekte etmek üzere yeni virüslerin meydana geldiği kaydedildi.

