Beyin yiyen amip nedir, nasıl anlaşılır? Çeşme suyundan bulaşıyor...
Burun yolu ile bulaşan "beyin yiyen amip" bilimsel adıyla Naegleria fowleri bakterisinin çoğunlukla tatlı sularda bulunması vatandaşları endişelendiriyor. Peki beyin yiyen amip nedir? İşte bilgiler...
ABD'nin Teksas eyaletinde bir su parkından bulaştığı tespit edilen, halk arasında "Beyin yiyen amip" olarak da bilinen 'Naegleria fowleri' amipinin neden olduğu ölümcül bir enfeksiyona yakalanan 6 yaşındaki çocuk hayatını kaybetti.
Vücuda burun yoluyla giren ve menenjite neden olan bu amip türü, kirli sularla bulunuyor ve ölüme sebebiyet veriyor.
Haberin akabinde telaşa kapılanlar, beyin yiyen amip nedir, nasıl anlaşılır merak ediyor. Beyin yiyen amip nasıl ve nerelerden bulaşılır araştırılıyor.
İşte ölüme sürükleyen beyin yiyen amip hakkında bilgiler...
BEYİN YİYEN AMİP NEDİR?
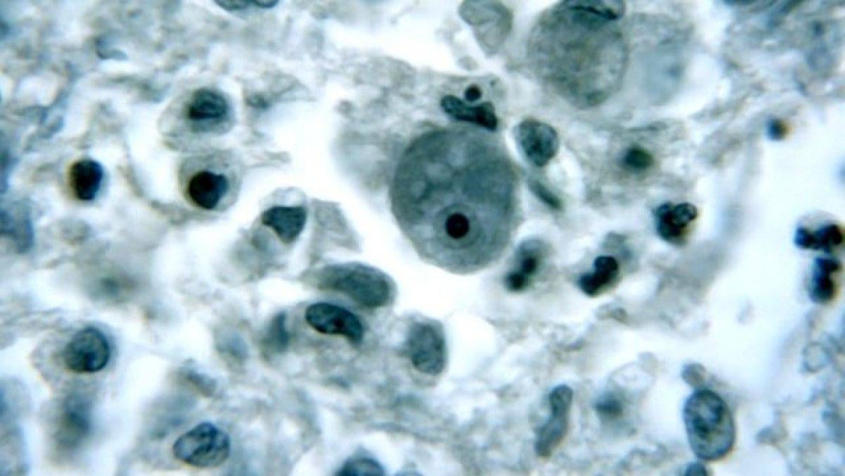
Amip denilen mikroorganizma tek hücreli bir canlıdır ve birçok farklı alt türü mevcuttur. Örneğin bunlardan bir tanesi, ülkemizde de sık görülen ve dizanteri dediğimiz ağır bir ishal tablosuna yol açan türüdür.
Beyin yiyen amip de denilen "Naegleria fowleri" türü ise çok daha nadir görülen ancak çok daha ölümcül olan bir amip türüdür.

BULAŞ TÜRÜ
Naegleria fowleri hastalığında tek hücreli amip, beyinde enfeksiyona yol açıyor ve vakalar genellikle ölümcül oluyor. Çoğunlukla göl ve nehir gibi tatlı sularda bulunan tek hücreli Naegleria fowleri, sadece burun yoluyla bulaşıyor ve insandan insana geçmiyor.
Çok nadir olarak yeterince klorlanmamış yüzme havuzlarına başın daldırılması veya amip ile kirlenmiş çeşme suyu ile burnun temizlenmesi ile bulaşma olabilir.
Bilim insanları, küresel ısınma ile artan sıcaklıkların göl, nehir gibi tatlı sularda “beyin yiyen amip” olarak da bilinen Naegleria fowleri gibi organizmaların çoğalmasına neden olduğunu açıkladı.

BELİRTİLERİ
Koku alma kanalına giren amipler, burun içi mukozayı geçerek koku alma siniri (nervus olfactorius) yolu ile beyin-omurilik sıvısı (BOS) ve beyine yerleşirler. Ani ölümcül bir hastalık olan ve Primer Amibik Meningoensefalit (PAM) olarak adlandırılan menenjitlere sebep olurlar.
Burun iltihabı, yüksek ateş, bulantı, baş ağrısı ve göz ağrıları belirtileri görülür. Kısa sürede şuur bulanıklığı ve koma ile ölüm meydana gelir.
