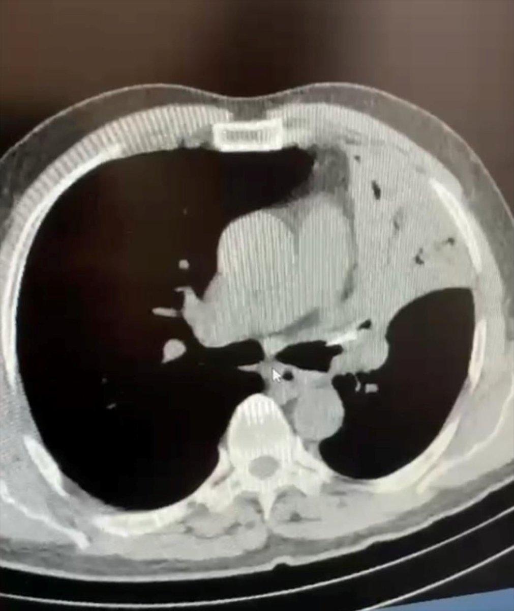
5 yıl önce yediği tavuğun lades kemiği akciğerine saplanan hasta, AİBÜ İzzet Baysal Eğitim ve Araştırma Hastanesi’nde yapılan ameliyat ile sağlığına kavuştu.
Bolu’da 5 yıl boyunca öksürük, şiddetli ağrı ve sırtında yanma şikayeti ile hastaneye başvuran hastanın akciğerine, yediği tavuğun lades kemiğinin sağlandığı tespit edildi.
İl Sağlık Müdürü Muhammed Emin Demirkol sosyal medya hesabından yaptığı açıklamada, hastanın Abant İzzet Baysal Üniversitesi (AİBÜ) İzzet Baysal Eğitim ve Araştırma Hastanesi Göğüs Cerrahisi ekibi tarafından başarılı bir şekilde ameliyat edildiğini belirtti.
5 yıl sonra şifa buldu
AA’nın haberine göre; 5 yıl boyunca sol akciğerinde lades kemiğiyle yaşamını sürdüren hastanın şifa bulduğu.
Demirkol, hastaya Göğüs Cerrahisi Anabilim Dalı Başkanı Öğretim Üyesi Prof. Dr. Hacıali Kılıçgün koordinesinde Dr. Öğretim Üyesi Osman Yakşi ve Araştırma Görevlisi Dr. Muhammed Yavuz Haktanır tarafından endoskopik müdahale yapıldığını kaydetti.
İl Sağlık Müdürü Demirkol, ekibin başarılı müdahalesiyle akciğerinden tavuk kemiği çıkarılan hastanın sağlığına kavuştuğunu ifade etti.

