Göğüs duvarının deformitesi: Poland sendromu nedir?
Doğuştan göğüs duvarında gelişim sorunu olan hastaların iki göğsünün simetrik olmaması durumuna Poland sendromu denir. Peki Poland sendromu nedenleri ve belirtileri nelerdir? İşte detaylar..
Doğumsal nedenlerden meydana gelen kol, el, parmak gibi vücudun üst tarafında eksiklik bulunması durumu olan Poland Sendromu, cerrahi ile tedavi edilmektedir.
Poland Sendromlu hastaya dışarıdan biri baktığında veya kendisi vücudunda olan asimetrik görüntüyü fark edebilmektedir. Kişi nefes darlıkları yaşıyorsa göğüs hastalıkları uzmanına görünür.
Peki Poland sendromu belirtleri ve nedenleri nelerdir? İşte göğüs deformitesi olarak da bilinen Poland sendromuna dair merak edilenler..
POLAND SENDROMU NEDİR?
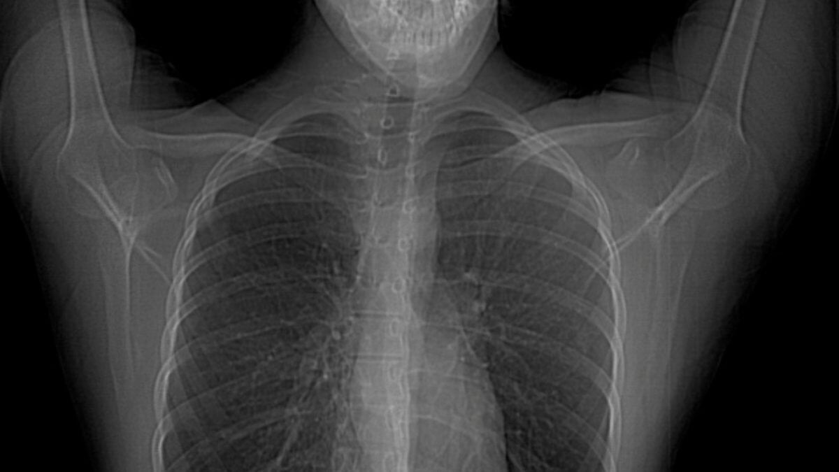
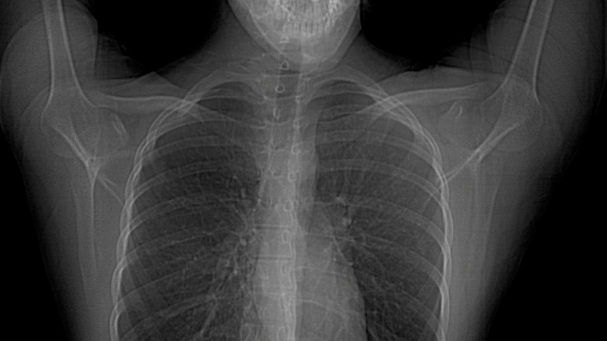
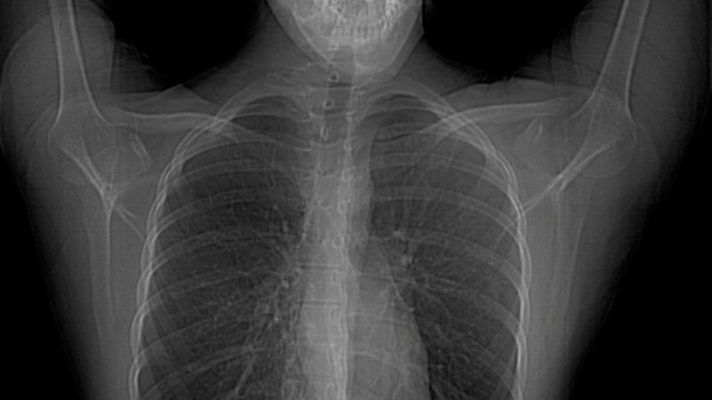
Poland sendromu; göğüs bölgesinde bulunan kasların doğumsal olarak yokluğuyla birlikte yine aynı tarafta bulunan kol, el, parmak gibi vücudun üst tarafında bulunan yapılarda eksiklik bulunmasıdır.
Çok sık rastlanan bir hastalık olmayan poland sendromu erkeklerde daha fazla görülmektedir. Nedeni henüz tam bilinemeyen bu hastalığın varlığında genetik önemlidir.
Hastanın vücut yapısı simetrik değildir. Yani vücudun bir yarısıyla diğer yarısı arasında görüntü ve yapı farklılıkları vardır. Özellikle göğüs bölgesinde bulunan yapılarda anormallikler bulunmaktadır. Kişide meme ve meme başı yokluğu da beraberinde görülebilmektedir.

POLAND SENDROMU BELİRTİLERİ
Hastaların göğüs kası olmadığı için bakıldığında simetrik bir görünüm bulunmamaktadır. Estetik bir görüntü olmaması nedeniyle fark edilirler.
Göğüste içbükey bir görünüm vardır. Yine aynı tarafta meme ve meme ucu yokluğu da beraberinde olabilmektedir. Göğüs kaslarına ek olarak kişinin sırt ve kaburgalarında bulunan kasların yokluğu veya burada bulunan kasların liflerinde eksiklik olabilmektedir.
En sık görülen formu meme başının küçük olması ve diğer meme başına oranla daha yukarı seviyede olmasıdır. Bazı hastalarda göğüs duvarında zıt hareket oluşumuna neden olabilecek hasarlı bir göğüs duvarı vardır.
Yani normalde nefes alırken göğüs duvarı genişler ve böylelikle akciğere rahatlıkla hava dolar. Ama burada göğüs duvarı kısıtlama yaptığı için akciğer yeterince genişleyip hava alamaz. Hastada nefes darlığı gibi akciğerle ilgili sıkıntılar görülebilmektedir.
Poland sendromu bulunan hastalarda el ile ilgili problemlerde olabilmektedir. En fazla görülen parmaklarda boyunun kısalığı ve parmaklarda yapışıklık olmasıdır. Ayrıca orta parmakta yokluk veya gelişim azlığı görülebilmektedir.
Bazı hastalarda ise nadir olarak el kaslarının iyi gelişmemesi, parmaklarda eksiklik ve hatta el yokluğu bile görülebilmektedir.

POLAND SENDROMU NEDENLERİ
Poland sendromunun nedeni henüz tam olarak aydınlatılamamıştır. Hastalığın aileden geçtiğini gösteren bazı vakalar görülmüştür.
Gebelikte ilaç kullanımı da bu sendroma neden olabilmektedir. Thalidomide, ergonavinmaleat ve liserjik asit gibi ilaçların gebelik döneminde kullanılması bebekte poland sendromuna neden olabilmektedir.
Ayrıca gebenin sigara kullanması da bu sendromun oluşumuna neden olabilmektedir. Bebeğin anne karnında iken virüslere bağlı enfeksiyon geçirmesi, travma alması, düşük tehdidinin olması diğer neden olabilecek nedenlerdendir.

POLAND SENDROMU TEDAVİSİ
Tedavi için genellikle yetişkin döneme gelmeleri beklenir. Cerrahi dışı bir tedavisi yoktur. Muayeneden sonra mevcut deformitelere göre ameliyat planı yapılır. Kas nakli, yağ enjeksiyonları, protez kullanımı gibi teknikler kombine edilerek düzeltim sağlanır.
Göğüs kafesini deforme edecek düzeyde kaburga sorunları varsa kıkırdak ve kemiklerin konfigürasyonunu değiştirecek daha ağır işlemler gerekebilir.
Poland sendromu tedavisi genellikle tatmin edici ve başarılıdır. En sık kullanılan tekniklerden biri olan, sırt kasının göğüs bölgesine transferi, sırt kasının göğüs kasına benzerliği nedeniyle çok iyi sonuç verir. Sırtta oluşan iz, dikkat çekici değildir.