Kadınlarda Polikistik Over Sendromu ve tedavisi
Kadınların korkulu rüyası Polikistik Over Sendromu, özellike genç yaşlarda ve üreme çağında görülüyor. Peki PKOS nedir ve nasıl tedavi edilir?
Son yıllarda görülme sıklığı artan Polikistik Over Sendromu ya da kısa adıyla PCOS önemli bir endokrin ve kadın hastalığıdır.
Özellikle üreme çağındaki kadınlarda sıklıkla görülen bu hastalık hem doğurganlığı azaltması hem de tedavi edilmediği takdirde birçok kronik hastalığa neden olması açısından önemlidir.
Peki PKOS nasıl anlaşılır, tedavi süreci nasıl ilerler? DOKTORUMsizler için yazdı...
POLİKİSTİK OVER SENDROMU NEDİR
Yumurtalıklarda küçük ve iyi huylu kistlerin oluşumuyla karakterize olan PCOS, öncelikle adet düzensizliğiyle kendini gösterir. Ayrıca kilo artışı, sivilcelenme ve tüylenme artışı (hirsutizm) ile kadınların korkulu rüyası olan bir hastalıktır. Dış görünüşü ve yaşam kalitesini bozduğu için mutlaka tedavi edilmesi gereken bir hastalıktır. Özgüven eksikliğine ve psikolojik sorunlara da neden olur. Uzun süreçte karaciğer yağlanmasına, hipertansiyona ve tip 2 diyabete neden olabilir.

PKOS NEDENLERİ
Polikistik over sendromunun nedeni tam olarak bilinmemekle birlikte ailesel yatkınlık ve obesitenin önemli rol oynadığı anlaşılmıştır. Ailesinde PCOS vakası olanlarda daha sıklıkla görülürken, obesitenin de insülin direnci oluşturarak vücuttaki hormon dengesini bozması nedeniyle hastalığa neden olduğu tespit edilmiştir. Bozulan insülin direnci hiperinsülinemiye, bu da androjen (erkeklik) hormonu salgılanmasını arttırarak Polikistik Over Sendromuna neden olmaktadır.
Vücuttaki cinsiyet hormonlarının bozulması yumurtalıklarda yumurtlama bozukluklarına ya da anovulasyon denilen yumurtlayamama sorunlarına neden olur, hormonal uyarı azlığı nedeniyle gelişemeyen yumurtalar yumurtalıkların çeperinde kist oluşturarak birikir.
PCOS hastalığına neden olan bazı kimyasallar da vardır. Tarım ilaçlarının bazıları, dioksinler, fitoöstrojenler, BPA, bisfenol A ve DBP gibi bazı kimyasallar Polikistik Over sendromuna neden olabilir.

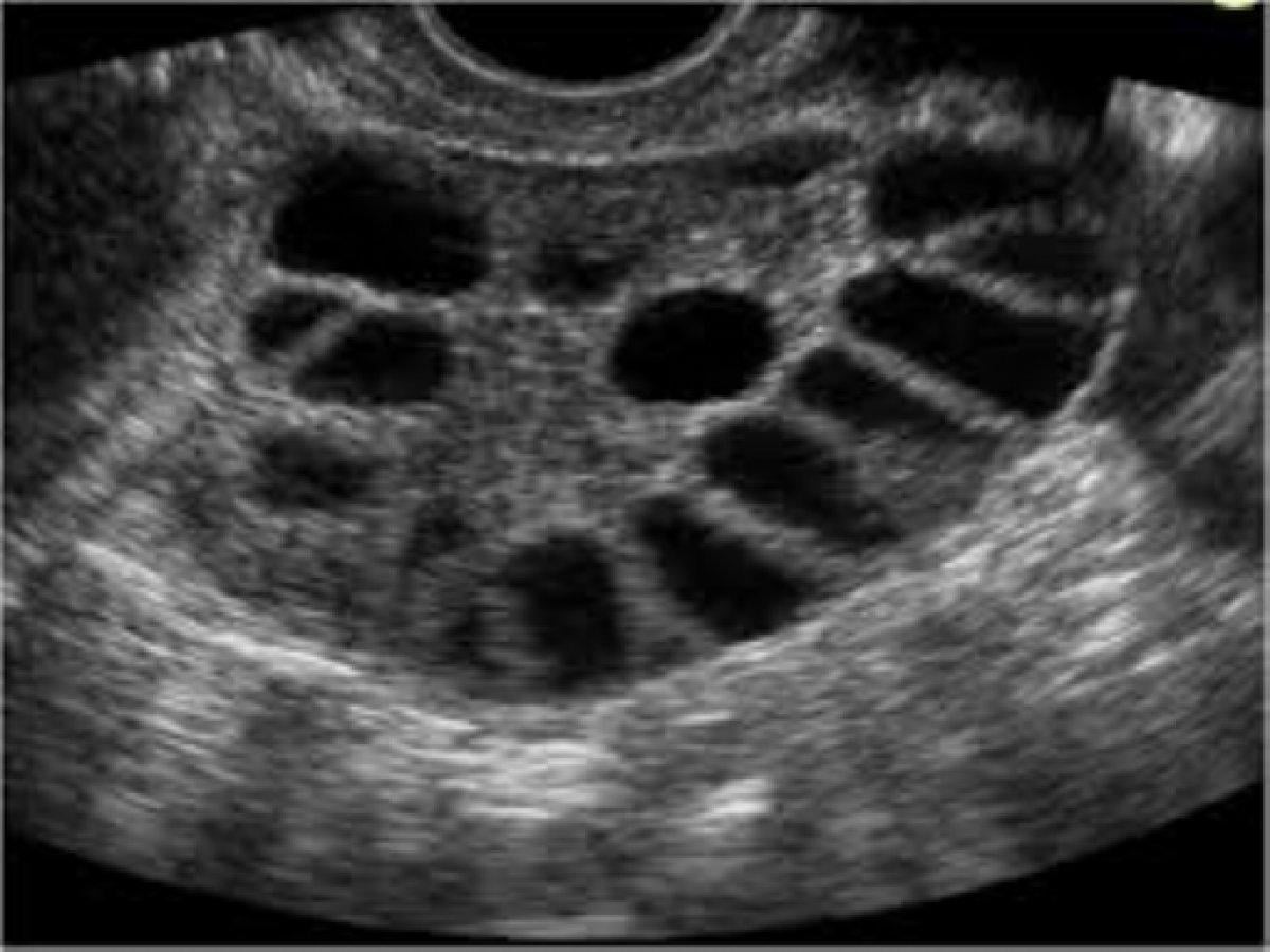
POLİKİSTİK OVER SENDROMU TANISI
Hastanın şikayetleri klinik bulguları göz önüne alınarak radyolojik görüntülerle tanı konulur. Adet düzensizliği, hiç adet görememe, tüylenme artışı, ses kalınlığı ve aşırı saç dökülmesi gibi belirtilerin görüldüğü durumlarda doktora başvurmak gerekir.
Tanı da ultrasonografi çok önemlidir. Yapılan vaginal ve pelvik ultrasonografi de yumurtalıklar ve rahimin detaylı incelenmesi gereklidir. Ultrasonografi de bir yada iki yumurtalığın multikistik (çoklu kist) görünümü tanı için önemlidir. Ancak her çoklu kistik görünüme PCOS denemez, laboratuvar ve klinik bulguların desteklemesi gerekir.
Kan tetkikleri de tanıda önemlidir. Adetin 3.gününde yapılan kan tahlilinde hormon düzeylerine bakılır. Yumurtlama düzenini sağlayan FSH ve LH hormonlarının düzeyinin bozulduğu, östrojen hormonu düşerken androjen hormonunun ise yükseldiği görülür.

TEDAVİ SÜRECİ
Hem Endokrin hem de Kadın Doğum Uzmanının hastaya özgü bir tedavi protokolü hazırlaması uygun olacaktır. Öncelikle kanda yüksek düzeyde bulunan androjen hormonu düzeyinin düşürülmesi için antiandrojen ilaç tedavisi başlanır. Önemli bir sorun olan insülin direncini kırmak için bir diyetisyenden yardım alınmalı ve uygun diyetlerle fazla kilolar verilmelidir. Yine insülin direncini yok etmek için antidiyabetik ilaçlardan yararlanılabilir. Bu tür bir tedavi hormon düzeylerini de hızla normale döndürecektir.
Adet düzensizliği, akne(sivilce) ve tüylenme artışı problemleri için doğum kontrol hapları ile yüz güldürücü sonuçlar alınmaktadır. Yine sivilce, saç dökülmesi, tüylenme gibi estetik problemlere estetik ve tıbbi çözümler (laser, saç ekme, akne tedavileri) uygulanmaktadır.

GEBE KALINABİLİR Mİ?
Yumurtlamanın bozulması ya da tamamıyla ortadan kalkması nedeniyle PCOS tanılı kadınlar gebe kalmakta güçlük çekebilirler Sevindirici olan kalıcı bir kısırlık nedeni değildir ve uygun bir tedaviyle hormon düzeylerinin kontrol altına alındığı durumlarda normal yoldan gebe kalabilirler. Ancak bu tür tedavilerin sonuç vermediği durumlarda çeşitli gebelik yöntemleri (tüp bebek vb) denenebilir.
Polikistik Over Sendromu kronik ve ciddi sağlık sorunlarına neden olabileceği için çocuk istemeyen kadınlarda da mutlaka tedavi edilmelidir. PCOS tanısı konmuş kadınlarda insülin direnci ilerleyen dönemlerde Tip 2 diyabete, hiperlipidemiye ve kalp damar hastalıklarına neden olabilmektedir. Bu nedenle adet düzensizliği, aşırı kilo alımı, tüylenme artışı gibi belirtileriniz varsa en kısa zamanda bir sağlık kuruluşuna başvurmanız erken tanı ve tedaviniz için yararlı olacaktır.
DOKTORUM