Bingöl Emniyet Müdürlüğü Narkotik Suçlarla Mücadele Şube Müdürlüğü’ne bağlı narko-tim ekipleri, akıllara durgunluk veren bir uyuşturucu sevkiyatını deşifre etti. Yapılan istihbari çalışma ve takip sonucunda, şehirlerarası otobüsle Bingöl’e gelen yabancı uyruklu iki şüpheli üzerinde detaylı sağlık taraması yapıldı.
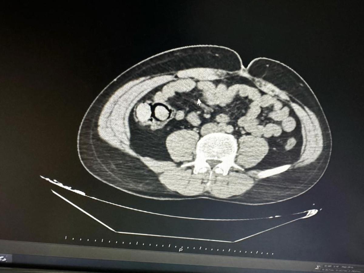
MİDESİNDEN 10 PAKET UYUŞTURUCU ÇIKTI
Gerçekleştirilen iç beden muayenesinde, 10 parça halinde toplam 113 gram metamfetamin ele geçirildi. Gözaltına alınan şahıslar, emniyetteki işlemlerinin ardından çıkarıldıkları mahkemece “uyuşturucu madde ticareti yapmak” suçlamasıyla tutuklanarak Elazığ Kapalı Ceza İnfaz Kurumu’na gönderildi.
Yetkililer, uyuşturucuyla mücadelede kararlılıkla sürdürülen operasyonların, halkın huzuru ve güvenliği adına kesintisiz devam edeceğini vurguladı.

