Türkiye'nin uyuşturucuyla mücadelesi hız kesmeden sürüyor.
Kullananlardan zehir tacirlerine tüm şüpheliler tek tek yakalanıyor.
Öte yandan yurda uyuşturucunun girişine de izin verilmiyor.
İzmir polisi bu kapsamda yeni bir çalışma başlattı.
5 şüpheli havalimanında yakalandı
İzmir İl Emniyet Müdürlüğüne bağlı Narkotik Suçlarla Mücadele Şube Müdürlüğü ekipleri, yurt dışından kentte uyuşturucu madde getirileceği bilgisi edindi.
İstihbarat üzerine operasyon başlatılmasıyla tespit edilen 5 kişiyi İzmir Adnan Menderes Havalimanı’nda yakalandı.
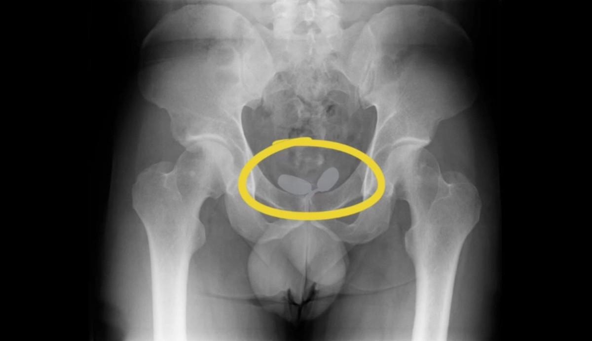
Ekipler yakaladıkları şüpheliler üzerinde akılalmaz bir görüntüyle karşılaştı.

Kadının cinsel organından, erkeğin anüsünden uyuşturucu çıktı
Alınan istihbarat doğrultusunda 2’si yabancı uyruklu toplamda 5 kişi yakalanarak gözaltına alındı.
Yapılan röntgen muayenesinde, uyuşturucu kaçakçılarının akılalmaz oyunu ortaya çıktı.
Yapılan röntgen muayenesinde, Alman uyruklu kadının cinsel organında prezervatifler içerisine gizlenmiş uyuşturucular ele geçirildi.
Diğer Alman yabancı uyruklu erkeğin ise uyuşturucuları anüsüne gizlediği belirlendi.

Farklı tür uyuşturucular yakalandı
Yapılan muayene sonrası; 21,19 gram eroin, 12,70 gram kokain, 7,76 gram amfetamin, 7 adet sentetik ecza ele geçirildi.
5 şüpheli adliyede
Operasyonda yakalanan 2’si yabancı uyruklu olmak üzere 5 şüpheli, emniyetteki işlemleri tamamlandıktan sonra adliyeye sevk edildi.