Kemik yaşı, yasaya göre çocuk olduğunu belgelemek isteyenlerde, boy uzatması ya da bacak uzunluk eşitsizliği nedeniyle operasyon planlanan çocuklarda, son olarak da sporcularda gelişim takibi amacıyla ölçülür.
Mevcut kemik yaşı atlasları kullanılarak hesaplanan kemik yaşı, çocuğun büyüme potansiyelini kendi takvim yaşından daha çok, iskelet olgunlaşması göz önüne alınarak değerlendirilmesini sağlar.
Özellikle ebeveynlerin araştırdığı kemik yaşı ölçümü nedir ve nasıl yapılır? İşte merak edilenler..
KEMİK YAŞI ÖLÇÜMÜ NEDİR?
Kemik uzamasını izlemek ve yasal konulara çözüm getirme noktasında, pediatrik endokrinoloji, ortopedi ve adli tıp gibi bilim dallarında kemik yaşı tespitinin önemi büyüktür.
Özellikle adli tıpta mahkeme tarafından çocukların yaşının belirlenmesi ve yasal olarak erişkin ve çocuk ayrımının yapılması önemlidir.
Sporcularda yaş tayini yaş grubuna göre takımlar oluştururken önemlidir.
Ortopedide yaş tayini boy uzamalarının tahmin edilmesinde ve ameliyat zamanını belirlerken kritik öneme sahiptir.

KEMİK YAŞI NASIL ÖLÇÜLÜR?
Büyüme ve gelişmenin değerlendirilmesinde kullanılan en iyi ölçütlerden birisi, kemiklerin olgunluk derecesinin saptanmasıdır.
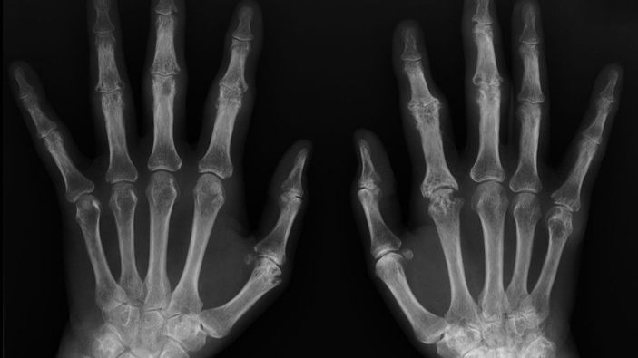
Kemik yaşı tespiti el – bilek röntgen filmlerinin radyolojik incelenmesi ile gerçekleştirilir. Bu amaçla kullanılan Greulich – Pyle Atlası kronolojik yaş gruplarına göre olması gereken standart el – bilek kemik haritalarından oluşmaktadır.
Bu yöntemde el –bilek röntgen filmi atlastaki şablonlarla karşılaştırılarak kemik yaşı tespit edilir.
Doğumdan olgunluğa dek, çeşitli kemikleşme merkezlerinin görünmesi ve birleşmesi oldukça belirli bir örneği izlediğinden, büyümeyi değerlendirmede, doğumdan büyümenin durduğu döneme kadar yapılabilir.

KEMİK YAŞI ÖLÇÜMÜNE HANGİ BÖLÜM BAKAR?
’ Kemik yaşı ölçümü hangi bölümde bakılır’’ diye merak edenler Fizik Tedavi bölümüne veya Ortopedi bölümüne başvurabilirler.
Gerekli müracaatlar yapıldıktan sonra uzman doktorlar sizleri yönlendirerek gerekli röntgen çekim işlemlerinin gerçekleşmesini sağlar.