Filipinler'de vücudundaki bıçakla 15 ay yaşadı

Saldırıya uğrayarak bıçaklanan 25 yaşındaki gencin, aylarca vücudundaki bıçakla yaşadığı ortaya çıktı.

Filipinler'de vücudundaki bıçakla 15 ay yaşadı

Filipinler'de akıllara durgunluk veren bir olay yaşandı.

25 yaşındaki Kent Ryan Tomao, bir grup tarafından geçen yıl ocak ayında Kidapawan şehrinde bıçaklandı.

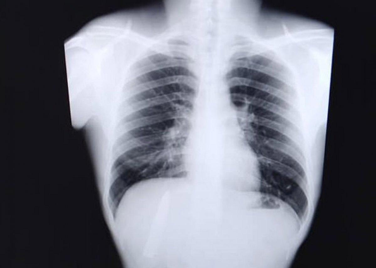
RÖNTGEN ÇEKİLMEDEN YARAYA MÜDAHALE EDİLDİ

Tomao hastaneye kaldırılırken, buradaki doktor önce röntgen çekmek yerine doğrudan yaraya müdahalede bulundu.

Yarayı kapatan doktorların, durumun o kadar da kötü olmadığını söylediği belirtildi.

Filipinli genç ile ilgili gerçek, iş başvurusu sırasında talep edilen röntgen belgesinde ortaya çıktı.

Filipinler'de vücudundaki bıçakla 15 ay yaşadı

"HAVA SOĞUKKEN GÖĞSÜMDE AĞRI HİSSETTİM"

Tomao, yaşadıklarını "Hava soğukken göğsümde neden ağrı hissettiğimi hep merak ediyordum ancak içinde bıçak olduğu konusunda fikrim yoktu." ifadesiyle aktardı.

25 yaşındaki Tomao, 15 ay önce yaşadığı olayda bıçağın akciğerlerine yakın bir yerde saplandığını öğrenince şaşkına döndü.

Bıçağın çıkarılması için aynı halk sağlığı merkezine gitmeyi planladığını söyleyen Filipinli genç, hastane ya da doktor hakkında yasal yollara başvurmak istemediğini ifade etti.

Filipinler'de vücudundaki bıçakla 15 ay yaşadı

Filipinler'de vücudundaki bıçakla 15 ay yaşadı

Filipinler'de vücudundaki bıçakla 15 ay yaşadı