Eğri omurlu bu kız manken oldu

19 yaşındaki omuru eğri genç kızın film gibi bir hikalesi var.Eğri omurunu düzelttiren genç kız sonunda manken bile oldu.

Eğri omurlu bu kız  manken oldu 1/16

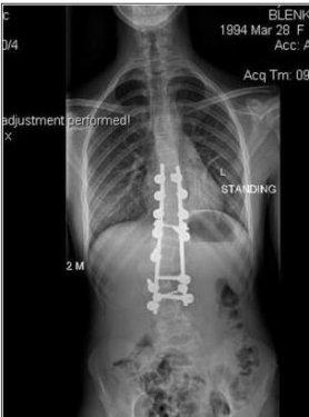
Manken Zoe Blenkinsop dünyaya skolyoz rahatsızlığıyla geldi. Sırtındaki omuru S şeklinde eğri olan genç kız, uzun süre ayağa kalkmakta bile zorlandı.Her seferinde büyük acılar çeken genç kızın sırtında bir yumru oluştu.

Eğri omurlu bu kız  manken oldu 2/16

11 yaşında teşhis konulan kıza operasyon yapılabilmesi için kemiklerinin yerleşmesi gerektiği söylendi.

Eğri omurlu bu kız  manken oldu 3/16

Bunun için de 18 yaşına kadar beklemesi gerektiği anlatıldı.

Eğri omurlu bu kız  manken oldu 4/16

Bütün bu zamanı kabus gibi geçiren genç kız büyük acılarla tam 7 yıl daha geçirdi.

Eğri omurlu bu kız  manken oldu 5/16

2011 yılında Zoe nihayet ameliyata alındı

Eğri omurlu bu kız  manken oldu 6/16

Sırtına metal çubuklar yerleştirildikten sonra eğri olan omuru buna bağlandı.

Eğri omurlu bu kız  manken oldu 7/16

Ameliyat tam 7 saat sürdü.

Eğri omurlu bu kız  manken oldu 8/16

19 yaşındaki Zoe Blenkinsop tamamen düzeldiği gibi şimdi mankenlik yapıyor.

Eğri omurlu bu kız  manken oldu 9/16

Zoe Blenkinsop

Eğri omurlu bu kız  manken oldu 10/16

Zoe Blenkinsop

Eğri omurlu bu kız  manken oldu 11/16

Zoe Blenkinsop

Eğri omurlu bu kız  manken oldu 12/16

Zoe Blenkinsop

Eğri omurlu bu kız  manken oldu 13/16

Zoe Blenkinsop

Eğri omurlu bu kız  manken oldu 14/16

Zoe Blenkinsop

Eğri omurlu bu kız  manken oldu 15/16

Zoe Blenkinsop

Eğri omurlu bu kız  manken oldu 16/16

Zoe Blenkinsop