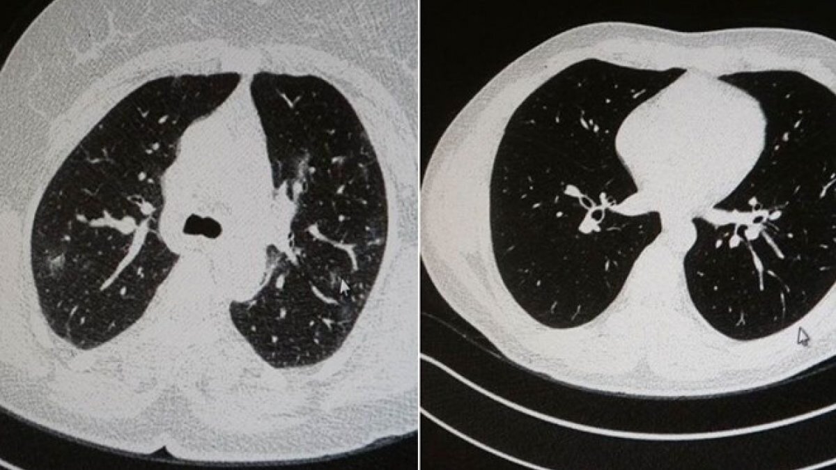
Elazığ'da Göğüs Hastalıkları Uzmanı Dr. Cebrail Azar, genç olduğu halde aşı olmayanlarda hastalığın ağır seyrettiğini ifade ederek "Ben gencim, benim bağışıklık sistemim kuvvetli" diyen genç bir hastanın akciğerlerinde ciddi lekelenmelerin olduğunu ve buna koronavirüs zatürresinin yol açtığını dile getirdi.
Azar, aynı şekilde aşı olup koronavirüs hastalığına yakalanan bir başka genç hastanın akciğer tomografisinde herhangi bir sorunun olmadığını ve hastanın durumunun iyi olduğunu gözlemlediklerini kaydetti.
“AŞI KORUYOR VE HASTALIĞIN AĞIR GEÇMESİNİ ENGELLİYOR”
Azar, "Pandeminin önünün kesilmesi, hastaların azalması için mutlaka dikkat etmemiz gereken en önemli nokta aşı olmaktır. Özellikle ebeveynlere en büyük tavsiyemiz, aşı olmalarıdır. Son zamanlarda hastanelerde yatan hastaların büyük çoğunluğu aşısızlardan oluşmaktadır. Hastalığa yakalananların yaklaşık yüzde 80-90’ı aşısız olanlardır. Şu an yoğun bakımda yatan hastalarının çoğunun aşısız olduğunu görüyoruz. Maalesef, geçen yıl 65 yaş ve üstünde olan hasta yoğunluğu şu an 15 ile 45 yaş aralığına düşmüştür. Bu da gösteriyor ki aşı koruyor ve hastalığın ağır geçmesini engelliyor." dedi.

“KEŞKE BİZ DE AŞI OLSAYDIK DİYEN ÇOK”
Yakınlarında ve hastalarında "Keşke biz de aşı olsaydık" diyenlerin çoğunlukta olduğunu dile getiren Uzm. Dr. Azar, "Bunun dışında hastalığı atlatanların da bize ilk sordukları soru 'Hocam, aşımı en yakın ne zaman yapacağım’ demesi oluyor. Çünkü hastalığı ciddi geçirdiği için aşının koruyuculukta büyük bir faydası olduğunu görüyor. Şu an yoğun bakımlarda, servislerde yaş ortalaması düşüyor. Hastalıkla mücadelede vücudun direnci eğer genetik olarak da zayıfsa ki bunu önceden öngörmek çok zor, o zaman maalesef hastalığa bağlı kalıcı hasarlar kalabiliyor." diye konuştu.
