Sırt ağrısı şikayetiyle doktora giden genç kadın, hastanede binde bir yaşanılan bir olayla karşılaştı..
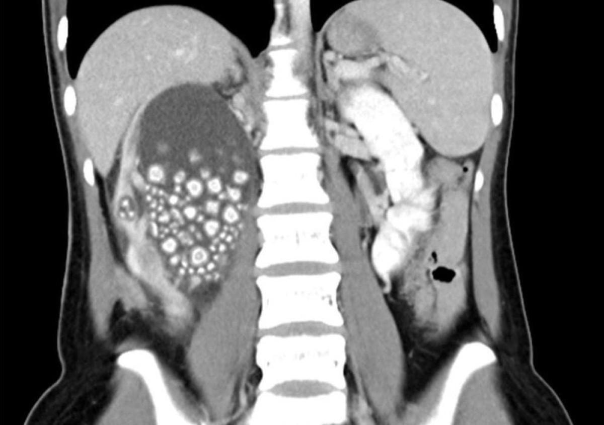
Tayvan'ın güneyinde yer alan Tainan şehrinde 20 yaşındaki Xiao Yu isimli kadın, yapılan tetkiklerin sonucunda böbreklerinde çok sayıda böbrek taşı tespit edilerek acil ameliyata alındı.
300'den fazla böbrek taşı çıkarıldı
Başarılı geçen ameliyatın ardından Yu’nun böbreklerinden 0.5-2 cm boyutlarında 300’den fazla böbrek taşı çıkarıldı.
Su yerine şekerli içecek ve çay tükettiği belirtildi
Ameliyatın yapıldığı Chi Mei Hastanesi tarafından yapılan açıklamada, Yu’nun su içmeyi sevmediği ve sadece şekerli içecekler ile çay tükettiği belirtildi. Xiao Yu’nun beslenme alışkanlıklarının kötü olduğunu vurgulayan Chi Mei Hastanesi'ndeki doktorlar ise, Tayvanlılara daha sağlıklı gıdalar tüketmeleri ve bol bol su içmeleri konusunda uyarılarda bulundu.
Öte yandan Chi Mei Hastanesi Ürologu Lin Tsai-yang, Tayvan'daki erkeklerin yüzde 14,9'unda, kadınların ise yüzde 4,3’ünde böbrek taşı oluşma ihtimali bulunduğunu kaydetti.
