Tekirdağ'da, yutkunma ve beslenmesinde sorunlar yaşadığı gözlenen bebek, ailesi tarafından Tekirdağ Devlet Hastanesi'ne getirildi.
Bebeği muayene eden Gastroenterolojik Cerrahi Uzmanı Dr. İhsan Gündüz ve Anestezi Uzmanı Dr. İbrahim Çetin, yabancı cisim yutulmasından şüphe ederek röntgen istedi.
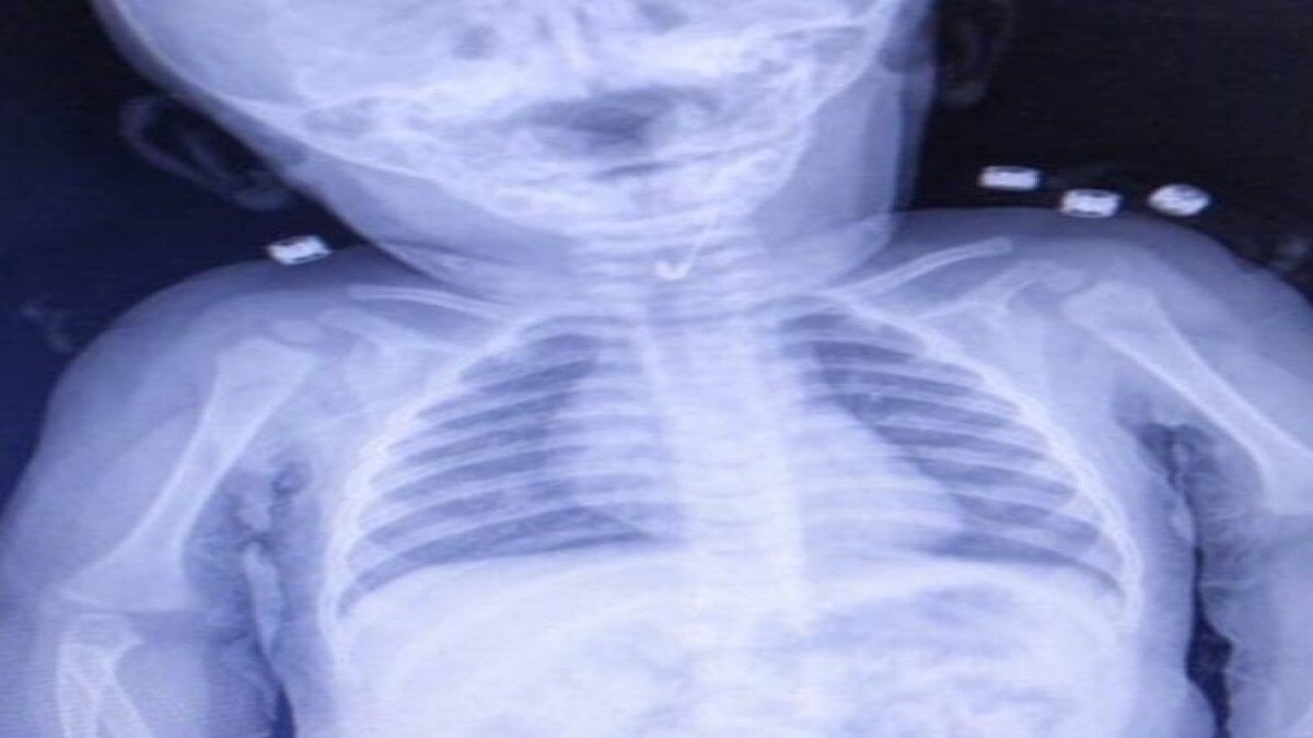
YEMEK BORUSUNDAN ÇENGELLİ İĞNE ÇIKTI
Çekilen röntgende, bebeğin çengelli iğne yuttuğu tespit edildi. Bebeğin yemek borusuna saplanan iğne, endoskopik yöntemle çıkarıldı. Hastane Başhekimi Aykut Demirkıran, bebeğin sağlık durumunun iyi olduğunu belirtti.
Demirkıran, anne ve babaları, çocuklarının yabancı cisim yutma tehlikesine karşı dikkatli olmaları yönünde uyardı.

