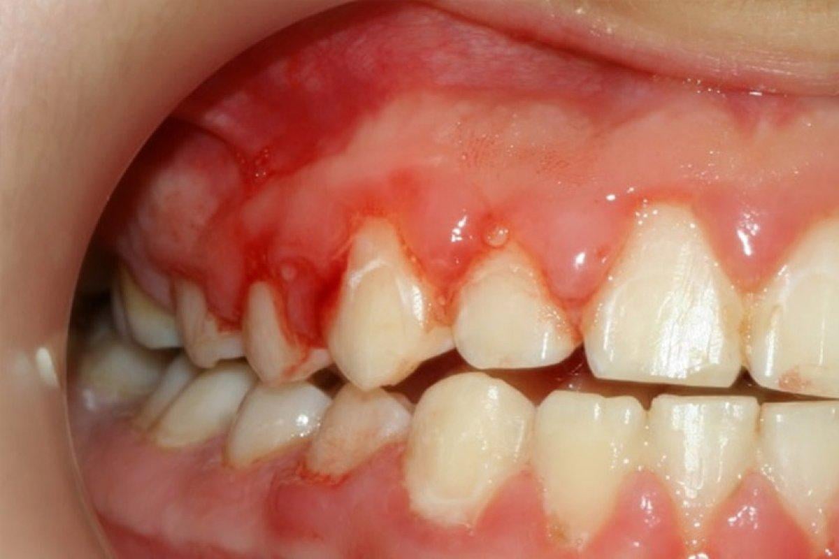
Diş etlerinde meydana gelen iltihaplanma nedeniyle, kanama ve hassasiyet ile ortaya çıkan rahatsızlıktır. Gingivit, tedavi edilmediğinde ciddi hasarlara neden olabilir.
Gingivit, halk arasında bilinen adıyla diş eti iltihabıdır.
Diş ve diş eti sağlığının ileri boyutlu ve diş kaybına sebep olan hastalıkları; gingivitis gibi küçük çaplı iltihaplanmalarla başlayabilir.
Gingivitin ortaya çıkması diş çevresindeki diş etinin tahriş, kızarıklık ve şişmesine neden olur.
Gingivitis oluşumundaki temel nedenler arasında; dişte plak birikmesi, fırçalama kaynaklı zedelenmeler ve yanlış diş ipi kullanımı sayılabilir.
GİNGİVİT BELİRTİLERİ
Gingivit gelişen diş etlerinin ve ağız içi yapısının, hastalarda sebep olduğu belirtiler şu şekildedir:
Hassas diş etleri, kızarıklık ve şişlik İltihap bölgesinde beyaz renkli topaklanma oluşumu Diş fırçalama sırasında tekrar eden kanamalar Diş eti çekilmeleri Diş etinin deformasyonu sebebiyle dişlerin sallanması (gevşeklik) Sıcak veya soğuk besin tüketiminde, diş etinde aşrı hassasiyet Ağızda iltihap kaynaklı kötü koku
AŞAMALARI
Gingivitin üç farklı aşaması vardır ve her bir aşamada farklı belirtiler görülür:
İLK LEZYON
Diş fırçalama esnasında hafif bir kanama ortaya çıkar. Diş etlerindeki kırmızılık güçlükle fark edilir.
ERKEN LEZYON
Diş fırçalama sonucunda ortaya çıkan kanama daha belirgindir, diş etleri kırmızıdır ve ilk olarak şişkinlik ortaya çıkar.
YERLEŞMİŞ LEZYON
Gingivit şiddetli seyreder. Kendiliğinden kanama görülür.

GİNGİVİT TEDAVİSİ
Gingivit çoğu zaman kişilerde kendiliğinden iyileşerek herhangi bir tedavi gerektirmez. Yalnızca bu rahatsızlık için ağız hijyenine dikkat etmek gerekir.
Ağızda ortalama iyi bir hijyen sağlamak için günde en az 2 kez diş fırçalamak, bir kez diş ipi kullanmak ve diş doktorundan senede bir ağız bakımı tedavisi almak gerekir.
Fakat iltihabın ilerlemiş olması ile 4 - 5 günden uzun sürmesi durumunda mutlaka bir diş doktoruna başvurulması gerekir.

TEDAVİ EDİLMEZ İSE;
Diş kaybına neden olur. Dişin altında bulunan dokunun ve çene kemiğinin tahrip olmasına sebep olur. İltihabın ilerlemesi ve çene kemiğine kadar yayılmasına sebep olur. Bakterilerin diş eti dokusu ile kan dolaşımına sızarak bazı rahatsızlıklara neden olabilir.