Hepimiz insan olarak zaman zaman hapşırma ihtiyacı hissediyoruz. Kimimiz için hastalık belirtisi olan hapşırık, kimileri için de bir alerjik reaksiyon.
Hapşırık insanlar için önemli bir ihtiyaçken, çalışma, bu ihtiyacın ağız ve burun kapatılarak durdurulmaya çalışılmasının ağır sonuçlara yol açabileceğini gösterdi.
HAPŞIRIRKEN BOĞAZI PARÇALANDI
İngiliz tıp dergisi British Medical Journal’da yer alan bir araştırma örneklemi, hapşırmayı engellemenin ne denli tehlikeli olduğunu ve insanları fiziksel olarak etkilediğini gözler önüne serdi.
BMJ'de yer alan analizde, ismi açıklanmayan 34 yaşındaki bir adamın etrafa mikrop saçmamak için kuvvetle hapşırırken ağız ve burnunu kapattığı, çevreye mikrop saçmamak için bunu yaptığı belirtildi. Fakat 34 yaşındaki adamın bu kararı, beklenmeyen sonuçlar doğurdu.
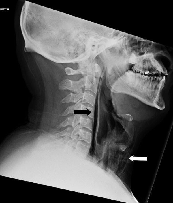
Talihsiz adamın boğazı, basınç nedeniyle yırtıldı.

"BOYNUMDA BİR ŞEY TIK ETTİ"
Olayın gelişimine ilişkin açıklamada bulunan adam, burnunu ve ağızını hapşırırken kapattığını, bunun neticesinde boynunda bir şeyin tık ettiğini belirtti.
"Ondan sonra ağızımda bir acı hissettim. Konuşmakta, yutkunmakta zorluk çekiyordum." diyen adam, hemen hastaneye giderek röntgen çektirdiği, tedavi altına alındığını söyledi.

Röntgen sonuçlarında soluk borusunun hasar gördüğünü ve buradan sızan havanın yumuşak dokulara zarar verdiğini belirten talihsiz İngiliz, 7 gün boyunca hastanede yatarak tedavi gördüğünü, tedavi sürecinde de bir hafta boyunca tüp aracılığıyla beslendiğini belirtti.
UZMANLAR UYARIYOR
BMJ dergisinde yayınlanan bu araştırma, insanların hapşırırken kendilerini tutmamaları konusunun ne kadar önemli olduğunu gözler önüne sererken, tutmaları durumunda ise kendilerini ne gibi sonuçların beklediğini gösteriyor.
Uzmanlar hiçbir şekilde hapşırığın tutulmaması konusunda insanları uyarıyor. İngiliz Ulusal Kamu Sağlığı Birimi ise hapşırmanın iyi bir şey olduğunu fakat hastalık mevsiminde olunduğu için hapşırırken ağzı ve burunları peçeteyle kapatılmanın daha uygun olduğunu duyurdu.