Bitlis'in Güroymak ilçesinde daha önce cisim yuttuğu gerekçesiyle gittikleri sağlık kuruluşlarından sonuç alamayan 5 yaşındaki çocuğun ailesi, Tatvan Devlet Hastanesi'ne başvurdu.
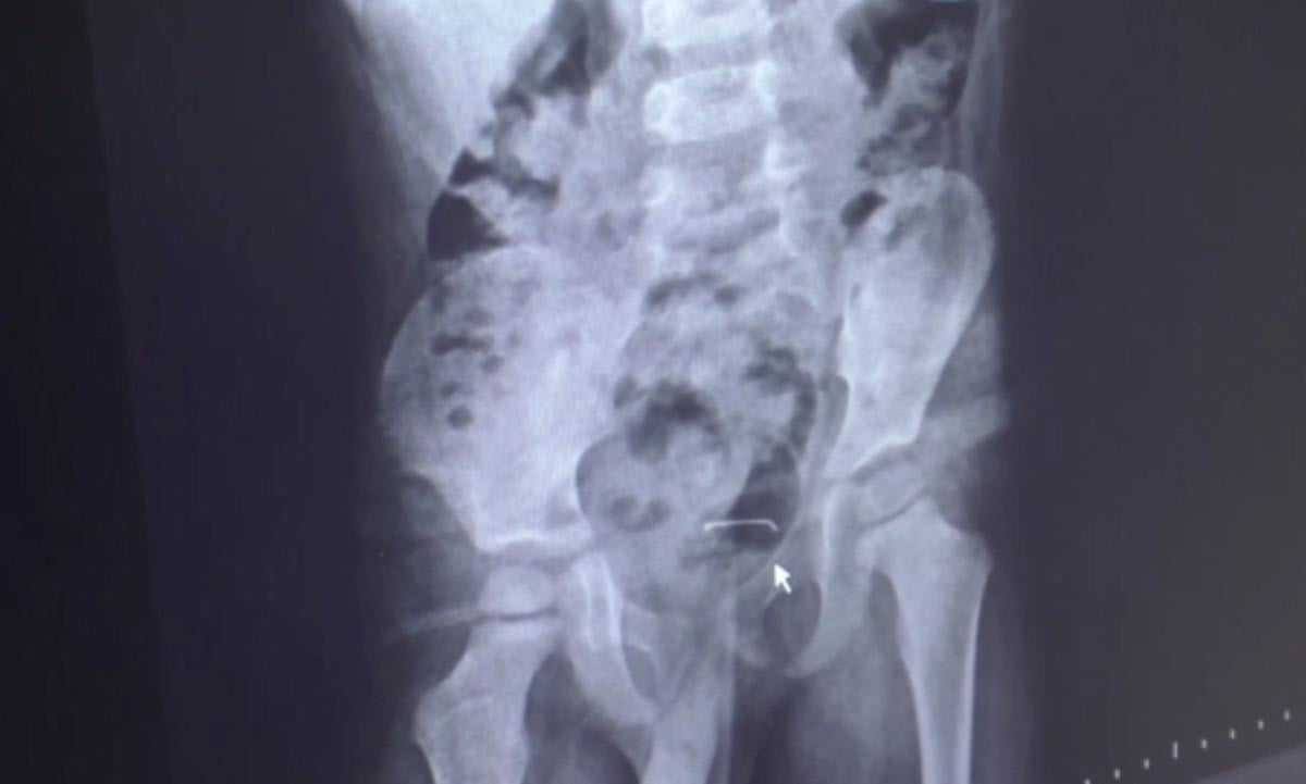
Karın ağrısı şikayeti bulunan çocuğun çekilen röntgeninde, mesane duvarında metal cisim olduğu tespit edildi.
3 CM BOYUNDA
Uzun bir süre çocuğun vücudunda kalan 3 santimetre civarındaki toplu iğnenin, mesane duvarına yapıştığı belirlendi.
Karın ağrısı şikayeti olan hasta çocuk, ailenin bilgilendirilmesinin ardından Çocuk Cerrahi Uzmanı Op. Dr. Tahsin Onat Kamçı tarafından ameliyata alındı.

9 AYDIR VÜCUDUNDAYDI
Yapılan operasyon ile çocuğun vücudundan iğneyi çıkaran Kamçı, gazetecilere, 5 yaşındaki hastanın 9 ay önce cisim yuttuğunu ancak ailenin bunun toplu iğne veya çivi olduğunu ayırt edemediğini söyledi.
Hastanın kontrollerinde yuttuğu cismin doğal yollarla vücuttan çıkmadığını tespit ettiklerini anlatan Kamçı, şu sözleri kullandı:
Bunun üzerine ameliyat kararı aldık. Ameliyatta cismin mesane duvarına yapıştığını gördük. Cerrahi operasyonla 3 santimetre civarındaki toplu iğneyi çıkardık. Hastayı birkaç gün takipte tuttuk. Genel sağlık durumu iyi olan hastamızı taburcu ettik.

"ÇOCUKLARDAN UZAK TUTULMALI"
Bazı cisimlerin doğal yollarla vücuttan atılabildiğini belirten Kamçı, "Kesici ve delici cisimler çok tehlikeli. Bu gibi cisimlerin çocukların ulaşabileceği yerlere bırakılmaması gerekiyor." dedi.