Dünyanın sayılı tıp dergilerinden BMJ’de yayınlanan habere göre, İrlanda’da ismi açıklanmayan 84 yaşındaki bir adam baş ağrısı şikayetiyle hastaneye gitti. Doktorlar hastanın rutin kontrollerini yaptı ve röntgeninin çekilmesini istedi.

İLGİNÇ SONUÇ ORTAYA ÇIKTI
Baş ağrısının yanı sıra sol tarafında (kol ve bacağında) bir ağrı ve yürümede sıkıntı yaşayan hastanın röntgeni kısa sürede çekildi. Fakat doktorlar röntgeni inceledikten sonra tıp tarihinde eşi benzerine çok zor rastlanan bir sonuçla karşılaştı.
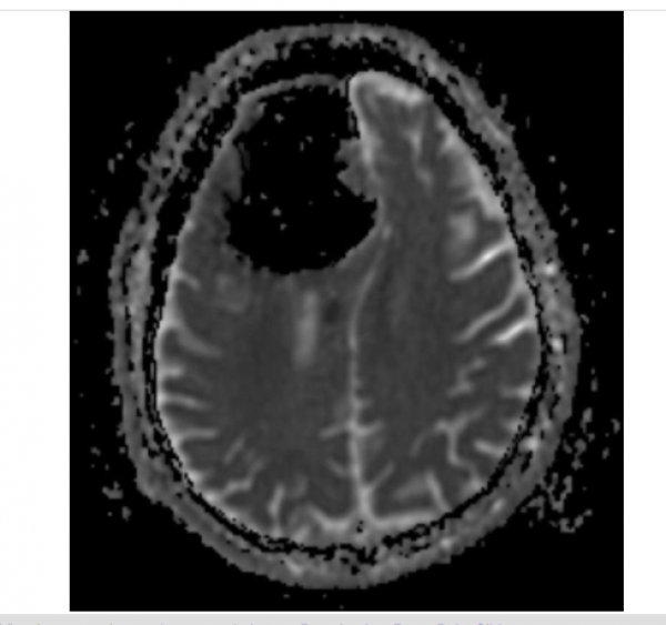
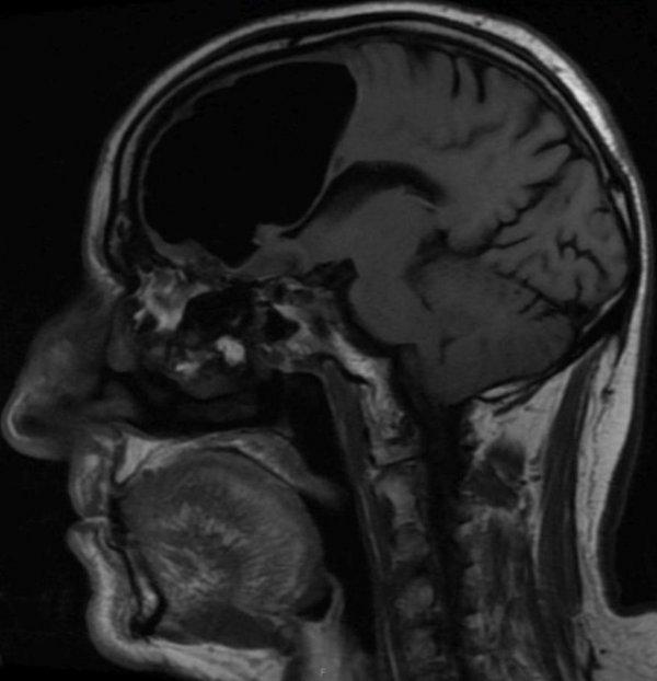
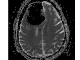
SAĞ ÖN LOBU YOK
Doktorlar röntgene baktığında beynin sağ tarafında 9 santimlik siyah bir görüntü gördü. Doktorlar, 84 yaşındaki hastanın sağ ön lobunun olmadığını fark etti.

YOKLUĞUNU HİSSETMİYOR
Hayatı boyunca sigara içmeyen ve nadiren alkol alan adamda görüş bozukluğu, konuşma ya da görsel rahatsızlıkları olmadığını açıklayan doktorlar, “O, günlük fiziksel aktivitelerini aksatmadan yapan, sağlıklı bir haldeydi. Fakat yapılan testler sonucunda biz de çok şaşırdık.” ifadesini kullandı.

PNÖMATOSEL RAHATSIZLIĞI BEYİN DOKUSUNA ZARAR VERDİ
Doktorlar hastanın pnömatosel rahatsızlığı ( akciğerde kistik hava boşluğu) olduğu için beyin dokusuna zarar verdiği görüşünde birleşti.
Bu arada beynin bu bölümü motor fonksiyonlarını aktive ediyor. Yani problem çözme, hafıza, dil kullanımı, sosyal ve cinsel aktviteler buradan yapılıyor.