Çin'den geldiği iddia edilen ve son bir kaç günde ABD, Hollanda gibi ülkelerde vaka sayısında patlama yaşanan "beyaz akciğer sendromu" nedir merak konusu oldu. İşte belirtileri ve tedavisi!
Son günlerde kamuoyunda ve halk arasında 'beyaz akciğer sendromu' adı verilen rahatsızlık konuşuluyor.
Çin'de ortaya çıktığı ve oradan ABD ve Hollanda gibi ülkelerde görüldüğü iddia edilen beyaz akciğer sendromu sosyal medyada merak konusu oldu.
Yeni bir virüs ve bakteri kombinasyonu olduğu düşünülen sendroma çevresel faktörlerin yol açtığı tahmin ediliyor.
Hastalığın özellikle çocuklar arasında yayıldığı belirtiliyor.
Peki, beyaz akciğer sendromu nedir, belirtileri nelerdir? Beyaz akciğer sendromu nasıl anlaşılır? İşte tedavisi...

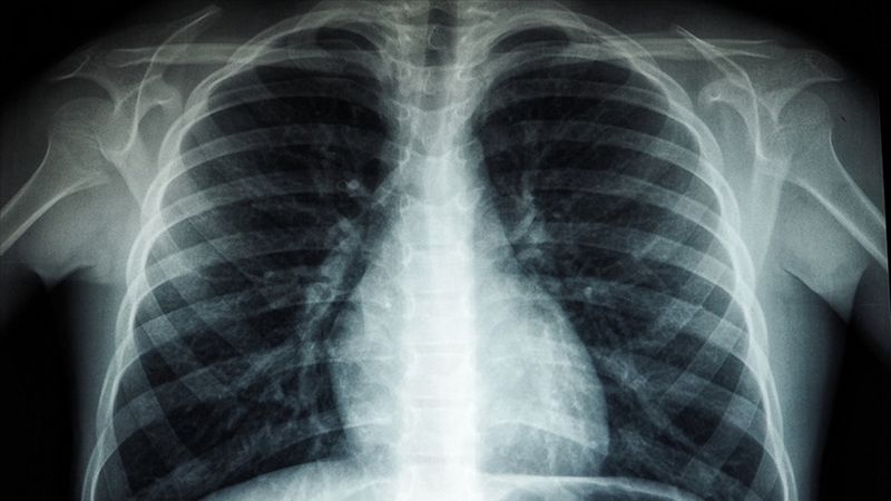
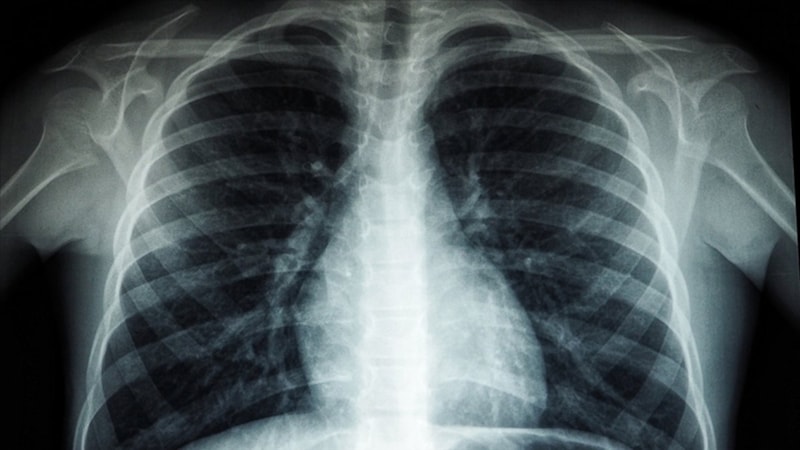
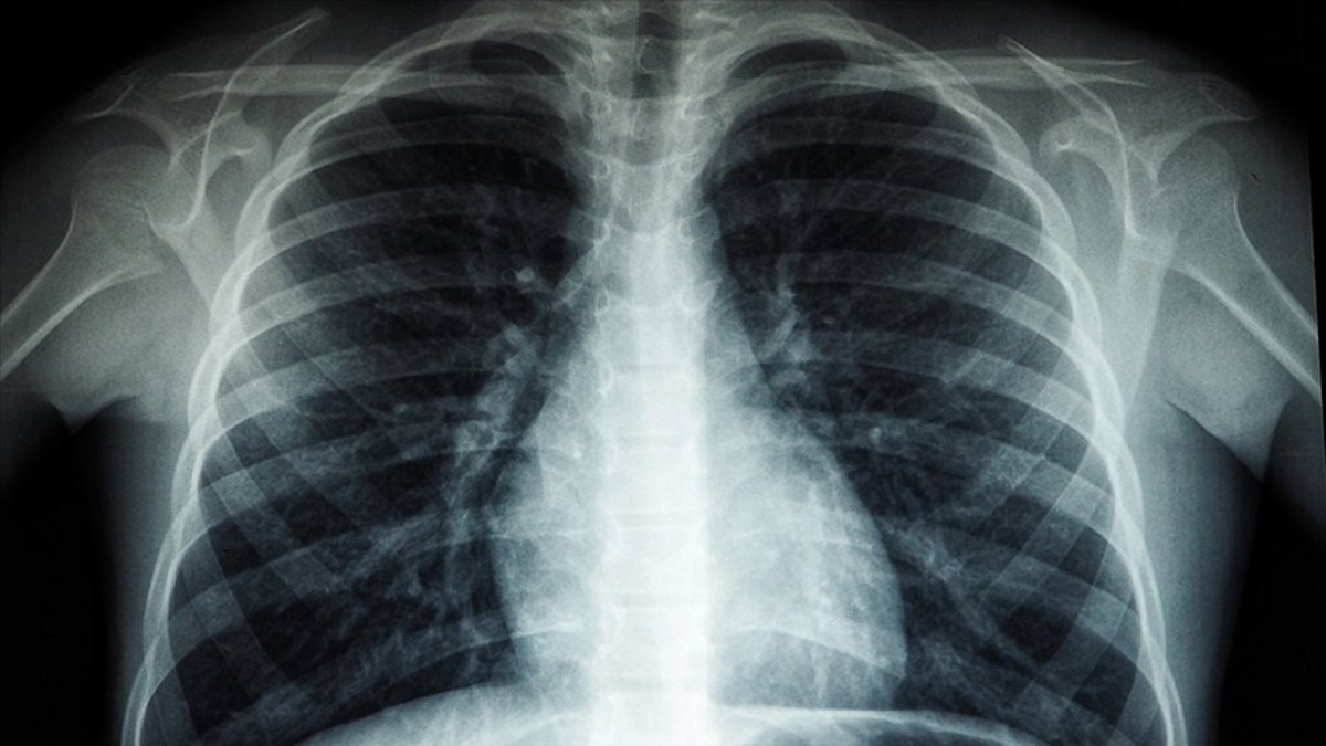
Beyaz akciğer sendromu nedir
Bu sendromu, akciğerlerin ani bir şekilde iltihaplanması sonucu oluşan, hayati organlara yeterli oksijen gitmeyen ciddi bir durumdur.
Silika tozlarına uzun süre maruz kalan kişilerde gelişebilir.
Akciğerde kalsiyum birikirse (kalsiyum oksit, kalsiyum karbonat, kalsiyum sülfat gibi kimyasallara uzun süreli maruz kalınan mesleklerde) akciğer filminde beyaz lekelenmeler görülür.
Antibiyotik tedavisine yanıt veriyor.

Beyaz akciğer sendromu belirtileri
Sürekli yüksek ateş,
Hızlı nefes alma,
Göğüste çekilme,
Öksürük,
Göğüs ağrısı
Nefes almada zorluk