Diş ağrıları, oldukça zor ve çekilmez anlar yaşatır. Özellikle apse gibi durumlarda, ağrıyı dindirmek zorlaşır. Tedavi sürecine kadar doğal bir çözüm arayanlar, karanfil yağına başvuruyor. Karanfil yağı, diş sağlığının olmazsa olmazı arasında yer alıyor.
Diş ağrısı, dayanılması güç ağrılardan biridir.
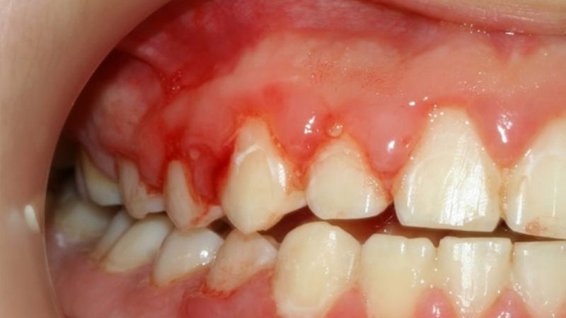
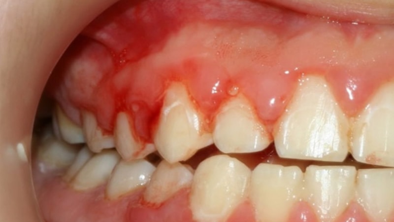
Dişlerde ya da diş etlerinde ortaya çıkan apseler şiddetli ağrılara, ağız hareketlerini yapmada zorluklara ve çeşitli sorunlara yol açabilir. Bu nedenle biran önce bu ağrıların ve sorunların iyileşmesi için apsenin tedavi edilmesi gerekir.
Tedavi anına kadar ağrıları hafifletmek istiyor ve bunu doğal yollarda yapma taraftarı iseniz, tavsiyemiz var.
Alternatif tıp, diş sağlığı için de öneri sunuyor.

Karanfil yağı sürün
Diş muayenehaneleri, genellikle karanfil kokar. Karanfil, diş ilaçlarında da sıkça tercih edilir.
Karanfil yağının içermiş olduğu maddeler nedeniyle anestezik ve antibakteriyel özelliği vardır. Bu nedenle karanfil yağını bir pamuk ya da temiz bir bez yardımıyla diş apsesinin olduğu bölgeye ve çevresine sürerseniz o bölgenin uyuşmasını sağlayabilirsiniz.
Bu sayede de apseden kaynaklanan ağrınızın hafiflemesine yardımcı olabilirsiniz.