Şavşat ilçesinde bağırsaklarında 350 gram metamfetamin taşıyan İran uyruklu şüpheli, jandarma ekiplerinin dikkatli takibiyle yakalandı.
Artvin'in Şavşat ilçesinde İl Jandarma ekipleri, dün gece saat 02.00 sıralarında İran uyruklu bir şüpheliyi durdurdu.
Yapılan ilk aramada üzerinde herhangi bir uyuşturucu madde bulunmayan şüpheli, detaylı kontrol için hastaneye sevk edildi.
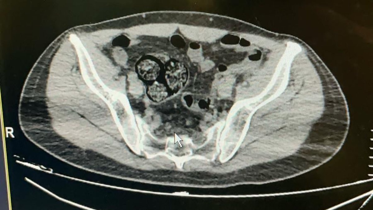
UYUŞTURUCULAR BAĞIRSAĞINDA BULUNDU
Artvin Devlet Hastanesi’ne götürülen F.R.’nin yapılan tomografisinde, bağırsaklarında 10 paket uyuşturucu madde taşıdığı belirlendi.
Şüphelinin hayati tehlike oluşturabilecek şekilde sakladığı paketler cerrahi müdahale ile çıkarıldı.

ADLİ İŞLEM BAŞLATILDI
Paketlerin içinde toplam 350 gram metamfetamin olduğu tespit edildi.
Gözaltına alınan F.R. hakkında, uyuşturucu madde bulundurmak ve satmak suçlarından adli işlem başlatıldı.


Kaynak: Demirören Haber Ajansı (DHA)