Tatvan ilçesinde, yol kontrolünde durdurulan otobüsteki yabancı uyruklu 3 yolcunun sırt çantalarından ve midelerinden toplam 1 kilo 120 gram metamfetamin çıktı. Gözaltına alınan şüpheliler, tutuklanarak cezaevine gönderildi.
Bitlis İl Emniyet Müdürlüğü Narkotik Suçlarla Mücadele Şubesi ekipleri, Tatvan ilçesindeki uygulama noktasında yol kontrolü sırasında bir yolcu otobüsünü durdurup, arama yaptı.
Ekipler, şüpheli hareketleriyle dikkat çeken yabancı uyruklu 3 kişinin sırt çantalarında yaptığı aramada, 109 parça halinde metamfetamin ele geçirildi.
MİDELERİNDEN UYUŞTURUCU ÇIKTI
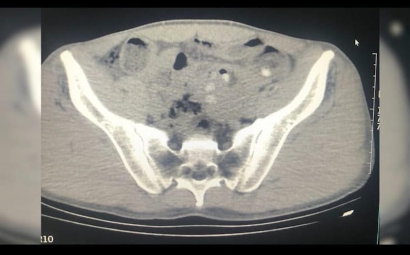
Gözaltına alınıp hastaneye götürülen şüphelilerin çekilen röntgenlerinde de midelerinde, 45 kapsül metamfetamin tespit edildi.
Şüphelilerin midesindeki uyuşturucu doğal yollarla çıkarıldı.

3 ŞÜPHELİ TUTUKLANDI
Toplam 1 kilo 520 gram metamfetamin ile yakalanan şüpheliler, Emniyet Müdürlüğü'ndeki işlemlerinin ardından sevk edildikleri adliyede çıkarıldıkları mahkemede tutuklanarak cezaevine gönderildi.
