Kayseri'de midesinde uyuşturucu taşıdıkları belirlenen İran uyruklu 3 şüpheli gözaltına alındı.
Kayseri İl Jandarma Komutanlığı ekipleri Kocasinan ilçesi Himmetdede Mahallesi'nde İran uyruklu 3 şüphelinin bulunduğu ticari aracı durdurdu.
Araçtaki A.O. (51), M.S. (37) ve P.S.'nin (28) üzerinde yapılan aramada bir miktar uyuşturucu bulundu.
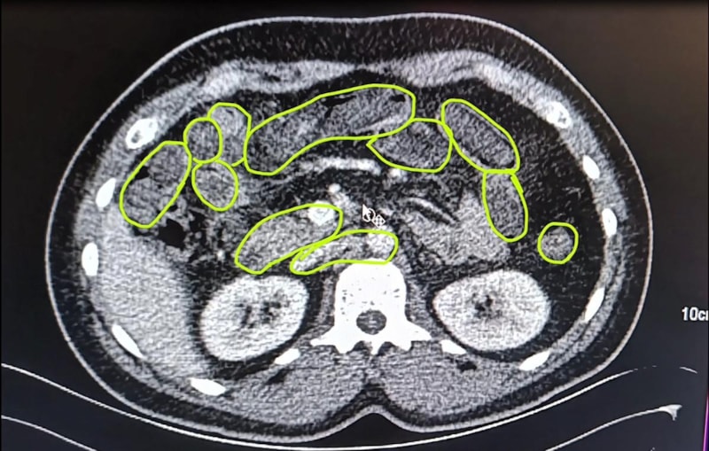
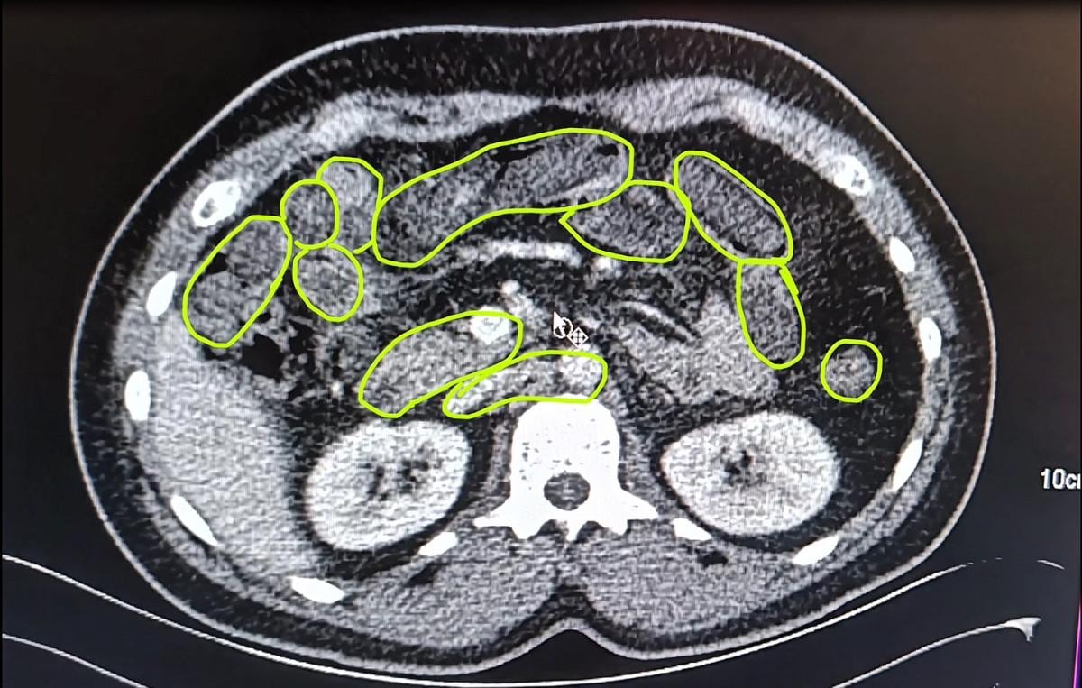
Zanlıların uyuşturucu maddeleri yutmuş olabileceğini değerlendiren ekipler bu kişileri hastaneye götürdü.

MİDELERİNDEN UYUŞTURUCU ÇIKTI
Röntgenlerinde midelerinde uyuşturucu madde olduğu belirlenen zanlılardan 20 gram çeşitli uyuşturucu madde ile 117 uyuşturucu hap ele geçirildi.
Gözaltına alınan şüphelilerin işlemleri devam ediyor.



Kaynak: Ensonhaber Haber Merkezi