Geçen yıl 9 Ocak'ta yaşadığı saldırıda ağır yaralanarak 2,5 ay hastanede tedavi gören Teksöğüt, "3 ameliyat geçirdim, ameliyatlarım hala devam ediyor. Yapılan saldırının ardından yargılama süreci başladı" dedi.
İstanbul’dan Şanlıurfa’ya 9 Ocak 2024 tarihinde, kesinleşmiş alacağı tahsil etmeye giden Avukat Büşra Teksöğüt'ün başına gelmeyen kalmadı.
Teksöğüt, haciz işlemleri sırasında Ahmet E. tarafından darbedildi.
Polis ve icra memurları ile birlikte bulunduğu evden ayrılan Teksöğüt, bindiği dolmuşta da Ahmet E. tarafından takip edilerek bir kez daha darbedildi.
Ağır yaralanarak ambulansla hastaneye kaldırılan Avukat Teksöğüt, ilki Şanlıurfa’da olmak üzere 3 ameliyat geçirdi.
Fizik tedavi süreci devam eden Teksöğüt, Ahmet E.'den şikayetçi oldu.
Ahmet E., 28 Şubat'ta Şanlıurfa'da hakim karşısına çıkacak.
"BU SÜREÇ PSİKOLOJİK OLARAK BENİ ÇOK ETKİLEDİ"
Avukat Büşra Teksöğüt, "Geçen yıl ocak ayında kesinleşmiş bir alacağımı tahsil amacıyla Urfa’nın Suruç ilçesine gittim. İşlemlerimi tamamladım. Daha sonra dönüş yolunda takip edildim.
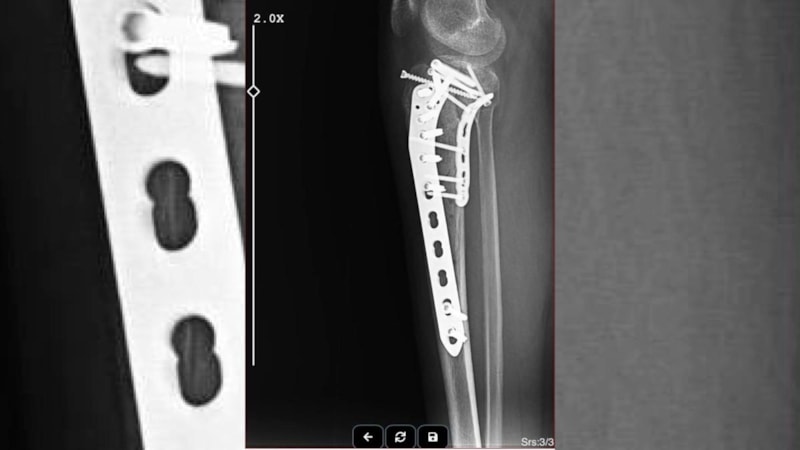
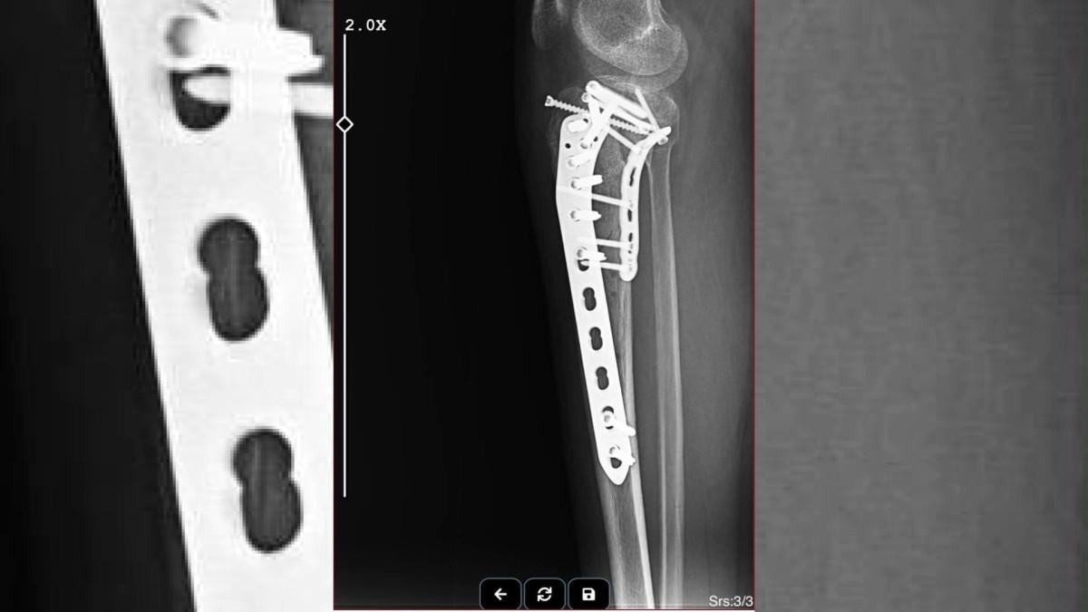
Takip edildiğimi saldırdıktan sonra öğrendim. Ağır şekilde yaralandım, hastaneye kaldırıldım. Haciz işlemleri için gittiğim borçlu tarafından saldırıya uğradım. 2,5 aylık bir hastane sürecim, aylarca evde yatış sürecim oldu. 3 ameliyat geçirdim. Ameliyatlarım hala devam ediyor.
Bacağımda platinler mevcut, kaybettiğim belli başlı dokular oldu. Bu süreç psikolojik olarak tabii ki beni çok etkiledi. Sağlık problemlerim hala devam ediyor, tedavi sürecim hala devam ediyor. Burada asıl olay, yapılan saldırının mesleğe karşı, bir avukata ve bir kadına yapılmış olmasıydı." dedi.

"28 ŞUBAT‘TA DURUŞMAM OLACAK"
Teksöğüt, "Bana yapılan saldırının ardından hastane süreci içerisinde yargılama aşaması da devreye girdi. Yargılama sürecinde tarafıma ‘kasten öldürmeye teşebbüs’, ‘kamu görevlisine kasten öldürmeye teşebbüs’ ve ‘nitelikli yağma’ suçları mevcutken; ‘mala zarar verme’, ‘görevi yaptırmamaya direnme’ ve ‘kasten yaralama’ dan şu anda dava devam ediyor. 28 Şubat‘ta Şanlıurfa'da duruşmam olacak, ilk duruşma. Bu konuda başta Türkiye Barolar Birliği olmak üzere bütün baro başkanlarını ve duyarlı bütün meslektaşlarımı yargılama aşamasında yanımda olmak için davet ediyorum.
Burada çünkü anlamamız gereken olay şu ki, olay tarafıma yapılmış bir saldırı değil, bir avukata, mesleğe, savunma makamına yapılmış bir saldırı. Vatandaşın savunma makamına olan saygısını zedeleyen bir hareketti.
Herkesin savunma hakkı mevcuttur ancak vatandaşlar, avukatı dosyayla özdeşleştirerek sanki tarafmış gibi görüp kendilerine kin ve nefret gütmektedir. Bu yüzden herkesi duyarlı olmaya davet ediyorum." ifadelerini kullandı.

"BAŞKA AVUKATI DA 3 YERİNDEN BIÇAKLAMIŞ"
Teksöğüt, “Nitekim bana saldıran şahıs, tahliye olduktan bir ay sonra bir başka avukatı 3 ayrı yerinden bıçaklamıştır. Bütün bunların kesilmesi için ciddi önlemler alınması gerektiği kanaatindeyim. Benim için her gün yaptığım mesleki bir işlemdi. Zaten şahsın yakınlarıyla muhatap olmuştum.
Yanımda bir sürü polis memuru mevcuttu. Aynı zamanda icra memuru aracılığıyla yapılan bir işlemdi. Yani daha sonra takip edilmem, tasarlanması, kilometrelerce merkeze kadar benimle gelinmesi, bir anda üzerime saldırılması, böyle bir vahşetin, böyle bir sinirin tarafıma yöneleceğini hiç beklemiyordum.
Hala da tarafıma yöneltilen bu öfkenin sonuçlarını yaşıyorum. Hem psikolojik olarak yaşıyorum hem fiziksel olarak yaşıyorum. Saldırıyı yaşadığım tarihten bugüne kadar, bir önceki dönem başkanı Avukat Filiz Saraç’ın çok desteğini gördüm.
Sağlık aşamasında, tedavi sürecinde de desteğini verdi, hala da desteklemeye devam ediyor. Aynı desteği ve yardımı, İstanbul Barosu’nun yeni yönetim kurulundan da göreceğime inanıyorum, görüşmelerimiz devam ediyor." dedi.

