Asemptomatik, semptom-belirti vermeyen, sessiz seyreden bir hastalıktır.
Asemptomatik hastalıklarda belirtiler sonradan ortaya çıkabilir ve hastanın durumu kötüleşebilir, ancak hastalık iyi huylu olabilir ve hiç belirti çıkmadığı da olur.
Hastanın genetik yapısı da bu durumu etkiler.

KANSERLİ HASTALARA DİKKAT
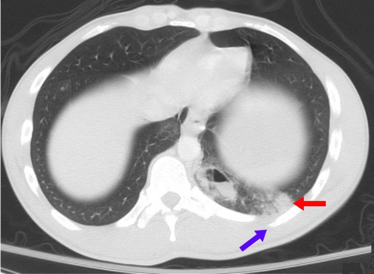
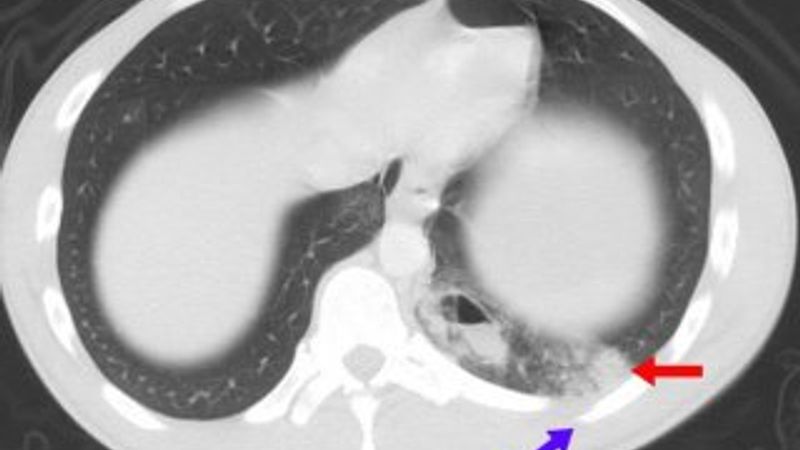
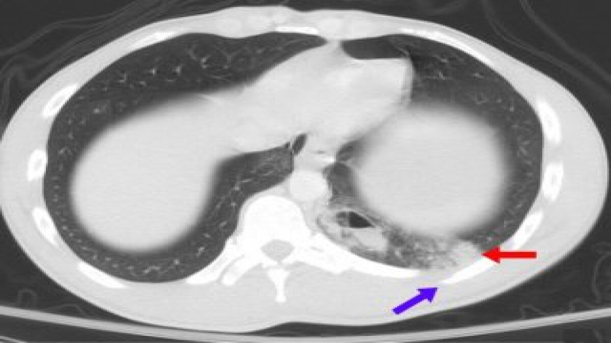
Asemptomatik olgularda hasta medikal testlere tabi tutulmazsa, hastalık ortaya çıkmaz (X-ray ve diğer tetkikler). Bazı kanserli hastalar uzun bir süre asemptomatik kalabilirler, böyle hastalarda ihtiyati önlemler alınmalıdır.

GENETİK YAPILAR BELİRTİLERİ ENGELLEYEBİLİR
Bazı kişilerin genetik yapıları, belirtilerin başlamasını geciktirebilir hatta engelleyebilir.