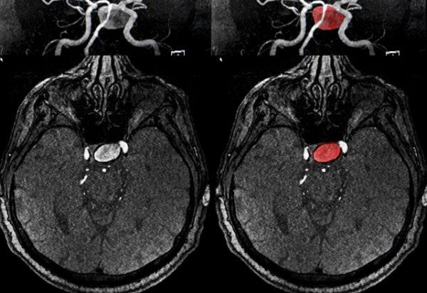
Beyin doku ve damarlarını incelemek için yapılan detaylı bir işlem olarak bilinen beyin anjiyosu, radyoloji uzmanları tarafından gerçekleştirilir.

TEDAVİ İÇİN DE KULLANILIR
Beyin anjiyosu, kasık damarlarından girilerek yapılır. Kataterler yardımı ile beyin içi veya beyin dışı doku tümörleri görüntülenir. Bu işlem, bazen tedavi yöntemi için de kullanılır.

İŞLEMİN ZARARI YOK
X ışını ile görüntü oluşturan anjiyografi cihazları ile bu işlem gerçekleştirilir. Beyin kanaması geçiren hastaların neden bu rahatsızlığı geçirdiği de bu sayede ortaya koyulur. Bu işlemin herhangi bir zararı yoktur.