Gliomların birbirinden farklı birçok tipi vardır.
Epandimomalar, astrositomlar ve oligodendrogliomlar ise bunlardan en yaygın olanlarıdır.
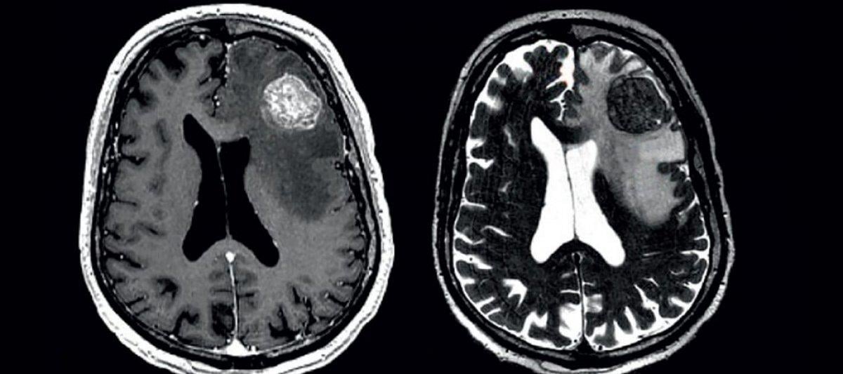
Bütün beyin tümörlerinin yüzde 30'unu oluşturduğu bilinen gliomlar, çoğunlukla kötü huyludur. Hastalığın ortaya çıkış nedeni ise net olarak bilinmemektedir.

GLİOMLARIN TİPLERİ
Kaynaklandığı glial hücrelere göre değişiklik gösteren başlıca gliomların türleri şu şekildedir:
Astrositom: Adını beynin içinde bulunan yıldız şeklindeki hücrelerden yani astrositomlardan alan tip, kötü huylu gliom türleri arasında en çok rastlanandır.
Oligodendroglioma: Bu tip beyin tümörüne ise miyelin adı verilen olglial hücreler neden olur.
Oligoastrositom: Bu gliomlar türü, oligodendrositlerin ve astrositlerin karışımdan meydana gelmektedir.
Ependimom: Özellikle çocuklarda en yaygın tür olarak görülen ependimom, beynin ve omurilik kanalının boşluklarını oluşturan hücrelerden ortaya çıkar.
Ganglioglioma: Gliomların en az rastlanan tipidir. Glial hücrelerin yanı sıra sinir hücrelerinden oluşur.

TEDAVİ YÖNTEMLERİ
Gliomların tedavisinde etkili ve önemli olan birçok durum vardır.
Hastanın yaşı ve sağlık durumunun yanı sıra; tümörün tipi, büyüklüğü, hangi evrede olduğu ve beyinde bulunduğu yer de belirlenecek tedavi sürecinde büyük önem taşır.
İyi huylu ya da kötü huylu olmasına bakılmaksızın; tüm tümör tiplerinin öncelikli tedavi yöntemi cerrahi olmalıdır.
Fakat; söz konusu tümör beynin çok hassas bir bölgesinde bulunuyorsa, cerrahi tedavi uygulamak hayati risk taşır. Bu gibi durumlarda ise ışın tedavisi (radyoterapi) ve ilaç tedavisi (kemoterapi) uygulamaları tercih edilir.