İstanbul'un Büyükçekmece ilçesinde 9 yaşındaki bir çocuk, 8 yaşındaki arkadaşının kolunu 2 yerinden kırdı.
İstanbul Büyükçekmece Tepecik'te bulunan bir ilkokulda 8 yaşındaki Y.K.Ş., okulda bir süredir kendisini rahatsız eden 9 yaşındaki çocuk tarafından darbedilerek, kolu ikiye katlandı.
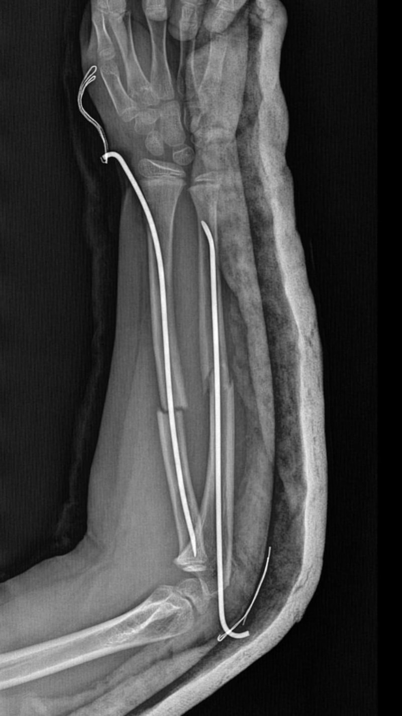
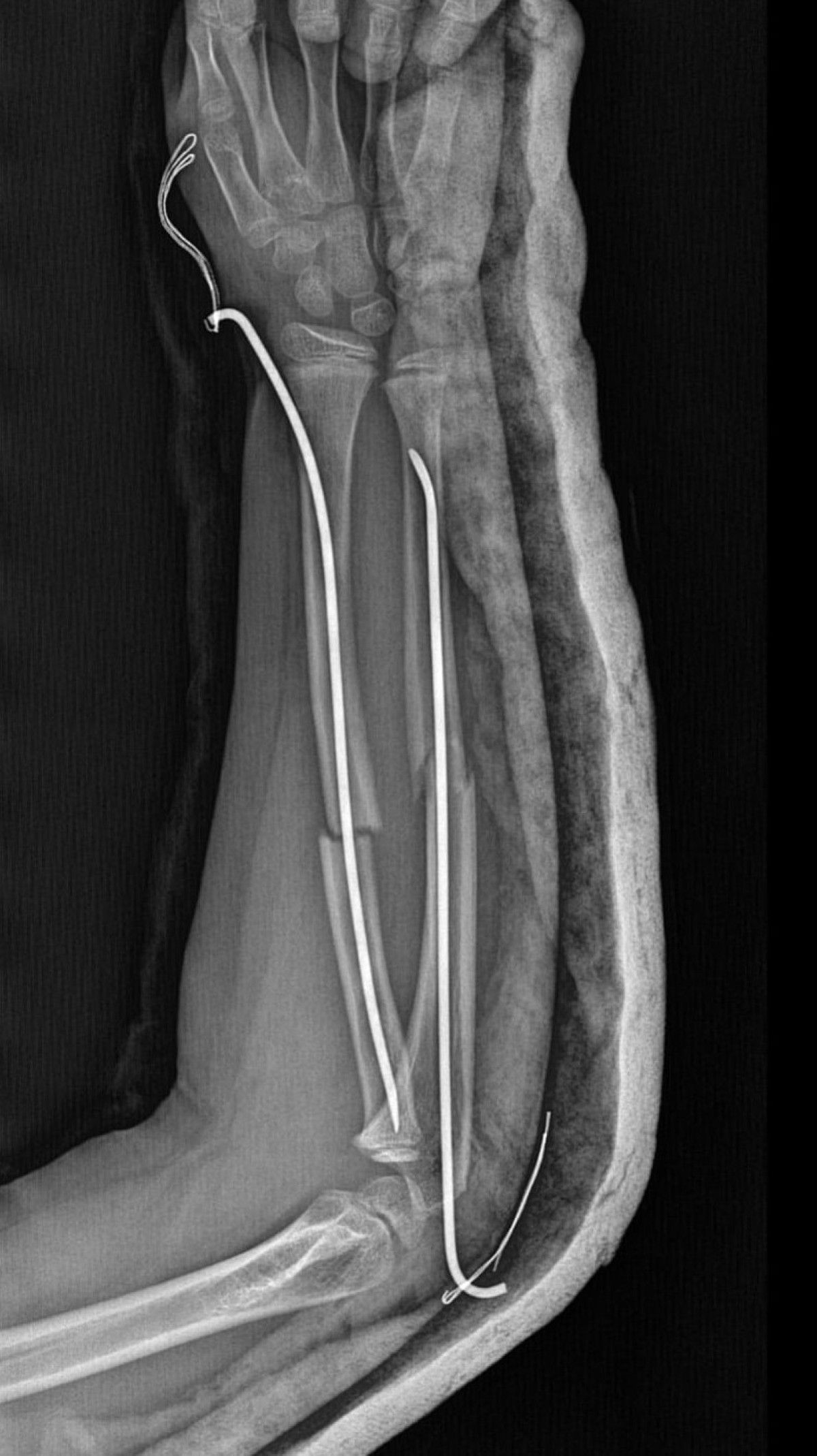
Y.K.Ş.'nin ikiye katlanan kolu, 2 ayrı yerinden kırıldı.
Öğretmenler, Y.K.Ş.'nin ailesini arayarak ‘Oğlunuz arkadaşıyla kavga etti, duvara çarptı' dedi.
ŞİKAYETÇİ OLDU
Oğlunu okuldan alıp hastaneye götüren anne Songül Gökdemir, oğlunun kolunun 2 ayrı yerinden kırıldığını öğrenip, ameliyata alınacağını duyduğunda büyük şok yaşadı.
Konuyla ilgili anne Gökdemir, savcılığa giderek şikayetçi oldu.
Savcılıktan ise çocuğun yaşının 12'den küçük olduğu gerekçesi ile 'kovuşturmaya yer yoktur' kararı çıktı.
Anne Gökdemir karara itiraz ederken mağdur Y.K.Ş. ise haftalardır okula gidemiyor. Eğitimi aksayan çocuğun, 2 hafta sonra ise platinlerinin çıkarılması için yeniden ameliyata gireceği öğrenildi.
"AMBULANS ÇAĞRILMAMIŞTI"
Yaşanan olayı anlatan Songül Gökdemir, " Arkadaşlarından darbe aldığını biliyordum. Ayrıca eylül ayından bu yana bir arkadaşının onun kolunu kırmaya çalıştığını söyledi. Ben de 'Arkadaşını öğretmene söyle' dedim.
Bundan kaçıyordu. O gün de rehber öğretmenine bu arkadaşını şikayet ettiler. Ben işe gittim, 1 saat sonra öğretmeni aradı. Oğlunuz arkadaşıyla birbirini itekledi, kolunu duvara çarptı gelir misiniz?' dedi. Kendi imkanımla hastaneye götürdüm.
Okula gittiğimde de oğlum derste oturuyordu. Öğretmen ders işliyordu, ambulans çağırılmamış. Hastanede kolunda 2 tane kırık olduğunu, acilen de ameliyata girmesi gerektiğini öğrendim.
3 gün sonra ameliyata alındı. Kolundaki platinlerden dolayı her gün pansumanı var. 2 hafta sonra tekrar ameliyatı var." dedi.

"KAMERA KAYITLARI YOK"
Okulun ve karşı tarafın ailesinin şikayetten sonra eve geldiğini ifade eden anne Songül Gökdemir," Dedikleri tek şey ‘Biz çalışıyoruz, ilgilenemiyoruz' oldu. Oğluma bunu yapan 4.sınıflar; 3'üncü sınıfların katına inip çete şeklinde kapüşonlarını çekip itiyorlar. Başka çocuklara karşı da merdivenlerden itme var, darbetme var.
O gün öğrenci geçmiş olsun diye geldiklerinde sordum. Sabah öğretmene şikayet ettiği için intikam almış. Bana böyle söyledi.
Kolunu çeviriyor arkaya doğru. Zaten çığlık çığlığa bağırıyor. Oğlumun arkadaşları geliyor. Kamera kayıtları yok çünkü kameranın görmediği yerde olmuş denildi." diye konuştu.

