Kentte polisin uyuşturucu operasyonunda yakalanan İran uyruklu şüphelilerin midelerinde kapsül halinde toplam 554 gram uyuşturucu çıktı. Gözaltına alınan 3 şüphelinin emniyetteki işlemlerinin devam ettiği öğrenildi.
Kayseri İl Emniyet Müdürlüğü Narkotik Suçlarla Mücadele Şube Müdürlüğü ekipleri, uyuşturucu ticareti yapan kuryelerin yakalanmasına yönelik çalışma başlattı.
İran uyruklu 3 şüphelinin, yurt dışından Türkiye'ye uyuşturucu getireceği bilgisi alındı.
2 ŞÜPHELİ GÖZALTINA ALINDI
Şüphelilerin bulunduğu adreslere düzenlenen operasyonla 41 yaşındaki S.C., 28 yaşındaki G.M. ve 35 yaşındaki R.B.C. gözaltına alındı.
Şüphelilerden S.C. ve R.B.C., muayene edilmek üzere Kayseri Şehir Hastanesi'ne getirildi.

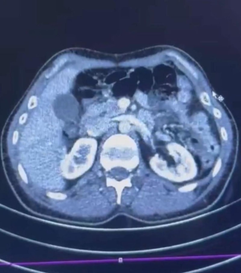
MİDELERİNDEN 554 GRAM UYUŞTURUCU ÇIKTI
Röntgeni ve ultrason çekilen şüphelilerin midesinde, yaklaşık 50 kapsülde 554 gram uyuşturucu olduğu tespit edildi.
Uyuşturucular sağlık ekiplerinin tedavisiyle çıkarıldı.
3 şüphelinin emniyetteki işlemleri ise sürüyor.

Kaynak: Demirören Haber Ajansı (DHA)