- ABD Başkanı Trump'ın dış yardımları kesmesi, 10 milyondan fazla kişinin tüberküloza yakalanmasına neden olabilir.
- Araştırmacılara göre, hizmet kesintileri tanı ve tedavide gecikmelere yol açarak ölümlerin artmasına sebep oluyor.
- En kötü senaryoda 2025-2030 arasında 2 milyon 200 bin kişi ölümü bekleniyor.
ABD'de tüberküloz tehlikesi...
Araştırmacılar, Donald Trump yönetiminin diğer ülkelere yönelik yardımları durdurması ile 10 milyondan fazla kişinin tüberküloza yakalanmasına neden olabileceğini belirtiyor.
3 FARKLI SENARYODA ELE ALINDI
ABD ve İsviçre'den araştırmacıların ortak yürüttüğü çalışmada, Trump yönetiminin dış yardımları durdurması sonucu askıya alınan bazı küresel sağlık hizmetlerinin, tüberküloz vakalarına sık rastlanan 26 ülkedeki olası etkileri üç farklı senaryoda ele alındı.
Çalışmanın bulgularına göre hizmet kesintisi, tanı ve tedavide gecikmelere yol açarak tüberküloz vakalarında ve ölüm oranlarında ciddi artışa neden oldu.

2 MİLYON KİŞİ ÖLEBİLİR
Tüberküloza yönelik hizmetlerin bir yılı aşkın sürede tekrar faaliyete geçemediği en kötü senaryoda 2025 ile 2030 yılları arasında 10 milyon 600 bin kişinin bu hastalığa yakalanacağı ve 2 milyon 200 bin kişinin hayatını kaybedeceği öngörüldü.
Hizmetlerin 3 aydan kısa sürede yeniden başladığı en düşük etki senaryosunda dahi, gelecek 5 yılda yaklaşık 100 bin kişinin tüberkülozdan yaşamını yitireceği tahmin edildi.
Araştırmanın sonuçları, "PLOS Global Public Health" dergisinde yayımlandı.
NE OLMUŞTU?
Trump, 20 Ocak'ta başkanlık görevine başladıktan hemen sonra, ABD'nin dış kalkınma yardımı programlarından sorumlu tüm bakanlık ve kurumlarının diğer ülkelere yapacağı ödemelerin kesilmesini öngören kararnameyi imzalamıştı.
ABD Dışişleri Bakanlığı da 27 Ocak'ta Bakanlık ve ABD Uluslararası Kalkınma Ajansı (USAID) tarafından finanse edilen tüm dış yardımların durdurulduğunu açıklamıştı.

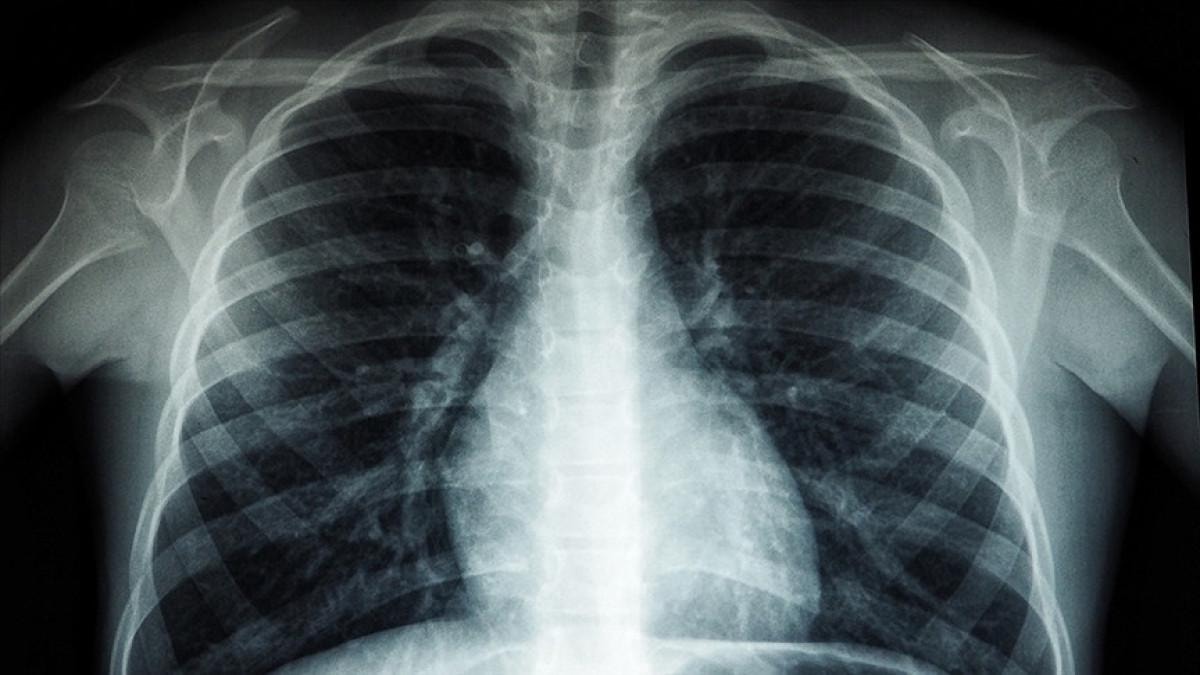
TÜBERKÜLOZ NEDİR?
Tüberküloz (TB) çoğunlukla akciğerleri etkileyen bakterilerin neden olduğu bulaşıcı bir hastalık. Tüberküloz hastaları öksürdüğünde, hapşırdığında veya tükürdüğünde hava yoluyla yayılır.
Dünya Sağlık Örgütü'ne göre tüberküloz önlenebilir ve tedavi edilebilir bir hastalık.
Küresel nüfusun yaklaşık dörtte birinin TB bakterisi ile enfekte olduğu tahmin ediliyor.
TB ile enfekte olan kişilerin yaklaşık yüzde 5-10'u sonunda semptomlar gösterir ve TB hastalığına yakalanır.