Zehir tacirlerine geçit yok..
Emniyet güçleri, başarılı operasyonlarını sürdürüyor..
Bu kapsamda son operasyon Muş'ta gerçekleşti.
Narkotik Suçlarla Mücadele Şube Müdürlüğü ekipleri uyuşturucu madde sevkiyatına engel olmak için yapılan çalışmalar neticesinde İran uyruklu 2 şahsın şehirlerarası yolcu otobüsü ile illere uyuşturucu madde nakli gerçekleştirebileceği ihbarını değerlendirdi.
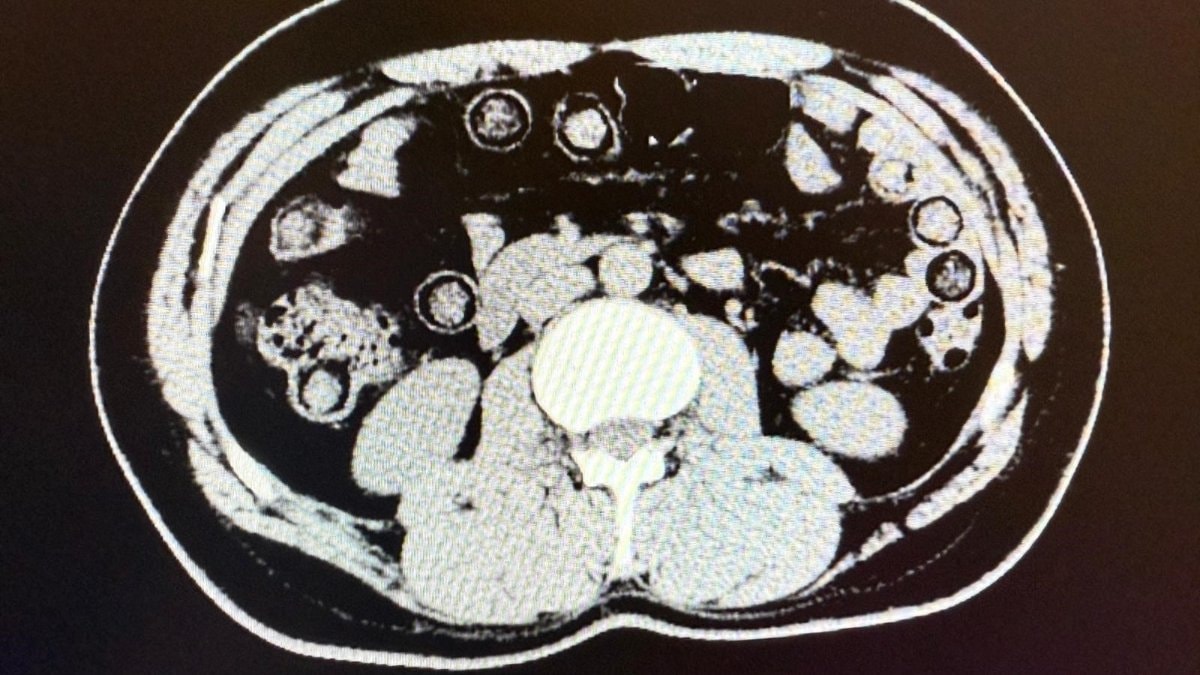
MİDELERİNDEN UYUŞTURUCU ÇIKTI
Yakalanan şahısların hastane kontrollerinde uyuşturucuları yuttukları tespit edildi.
Şüphelilerin midesinden 94 adet kapsül daralı ağırlıkları 928 gram gelen metamfetamin maddesi ele geçirildi.

TUTUKLANDILAR
Muş Valiliği tarafından yapılan açıklamada, şu ifadeler kullanıldı:
Narkotik Suçlarla Mücadele Şube Müdürlüğümüzce uyuşturucu madde sevkiyatına engel olmak için yapılan çalışmalar neticesinde İran uyruklu 2 şahsın şehirlerarası yolcu otobüsü ile illere uyuşturucu madde nakli gerçekleştirebilecekleri değerlendirilmiş, 6 Aralık günü saat 11.30 sıralarında şüpheli şahısların görevlilerimizce yapılan sorgulamasında uyuşturucu madde naklettikleri yönünde kuvvetli şüphe oluşmuştur.
Hastanede yapılan iç beden muayeneleri sırasında çekilen tomografi görüntülerine göre uyuşturucu madde yuttukları tespit edilmiştir. Hastanede yapılan tespit sonrasında şahısların midelerinde toplam 94 adet kapsül içerisinde daralı ağırlıkları 928 gram gelen metamfetamin maddesi ele geçirilmiştir. Şüpheli şahıslar hakkında ‘uyuşturucu ve uyarıcı madde ticareti’ suçundan işlem yapılmak üzere Cumhuriyet Başsavcılığına intikal ettirilmiş ve çıkarıldıkları mahkemece tutuklanmışlardır.
