Diş tedavisi sonrası 50 yaşındaki hastada başlayan nefes darlığı ve öksürük şikayetlerinin altında yatan neden, yuttuğu silikon çıktı.
Diyarbakır'da yaşayan 50 yaşındaki İ.U., 2023 yılının Ekim ayında diş çekiminden sonra implant ölçüsüne gitti.
İ.U., ölçü için uygulanan silikonu farkında olmadan yuttu.
Bir süre sonra nefes darlığı ve öksürük şikayetleriyle hastaneye giden İ.U.’ya astım tanısı konuldu.
ASTIM TEDAVİSİ GÖRDÜ AMA...
1,5 yıldır astım tanısından sonra tedaviler almaya başlayan İ.U., Prof. Dr. Abdurrahman Şenyiğit’in yanına geldiğinde yapılan tetkiklerde gerçek bambaşka çıktı.
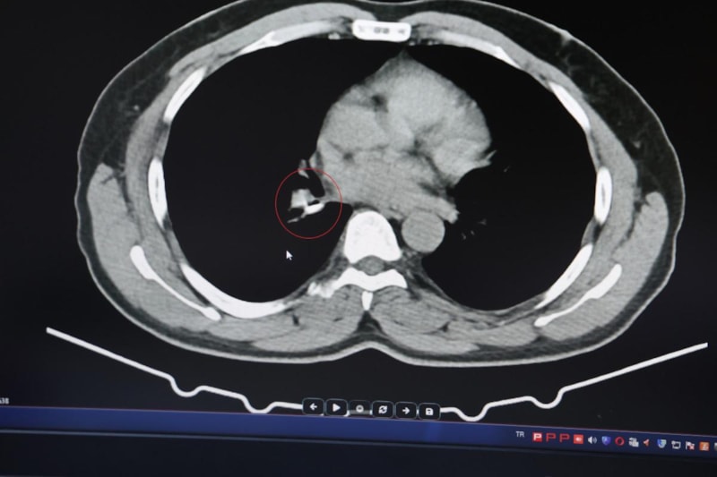
Yapılan tomografi ve bronskokopi işlemlerinde akciğere yerleşen maddenin yutulan silikon olduğu belirlendi. Silikonun çıkartılmasıyla hastanın tarifine göre şikayetlerinin ortadan kalktığı belirtildi.

"SLİKONU TESPİR ETTİK, RAHATLADI"
Dicle Üniversitesi Tıp Fakültesi Göğüs Hastalıkları Öğretim Üyesi Prof. Dr. Abdurrahman Şenyiğit, hastanın diş çekiminden sonra implant tedavisine gittiğini, implant tedavisinde kullanılan silikonlu diş ölçüm maddesi olduğunu ve hastada bu maddenin kullanıldığını söyledi.
Hastanın, maddenin akciğere kaçtığını hissedebildiğini fakat fark edilmediğini ifade eden Prof. Şenyiğit, o maddenin akciğerde kaldığını dile getirdi.
Şenyiğit, o maddenin zamanla akciğer yapısının özelliğini aldığını ve orada yabancı bir madde olarak kaldığına değinerek, "Hastamıza maalesef 2 yıldan beri astım tanısı konulmuş ve sürekli tedavi verilmiştir. Hasta bize geldiği zaman yapılan tomografide sağ akciğer ana bronşun distalinde şüpheli lezyon gördük.
Uyguladığımız bronskokopide yabancı maddenin silikon olduğunu tespit ettik. Onu çıkardıktan sonra da hastada bir rahatlama meydana geldi" dedi.

"AKCİĞERE KAÇABİLİR"
Diş ölçümlerinin silikon ile yapılırken dikkat edilmesi gerektiğini kaydeden Prof. Şenyiğit, "Bu yumuşak madde akciğere kaçabilir. Bu, zamanla bronş yapısını aldığı için uzun süre kendini belli etmeyebilir.
Bu tür durumlarda nefes darlığı, öksürük olduğu zaman mutlaka dikkatli olmak lazım. Dün çıkarıldı ve hasta dünden beri hiç öksürmediğini tarif ediyor. 24 saat yeni geçti. Hasta, rahatladığını tarif ediyor" ifadelerini kullandı.


