Fransa’nın güneyinde yaşayan bir adam, hafif bacak ağrısı şikayetiyle doktora başvurduktan sonra inanılmaz bir gerçekle yüzleşti. Yapılan taramalarda, yıllarca yarım beyin ile yaşadığını öğrendi.
Fransa’da yaşayan 44 yaşındaki bir adam, bacağında yaşadığı hafif ağrı ve güçsüzlük nedeniyle doktora başvurduğunda hayatının belki de en ilginç geri dönüşlerinden birini aldı.
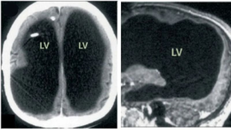
Adam, beyninin yarısından fazlasının olmadığını öğrendi.
44 yaşında olan kimliği gizli adam, yaklaşık iki hafta boyunca bacağında hafif bir ağrı ve güçsüzlük fark edince ilk olarak doktora gitti.
BACAK AĞRISIYLA GİTTİĞİ HASTANEDE BEYNİNİN YARISI OLMADIĞINI ÖĞRENDİ
Beyin taraması sonrası adamın beyninin yarısının olmadığı, "Hidrosefali" adı verilen kafatasında ince bir beyin dokusu tabakası ve sıvı bulunduğu ortaya çıktı.
Bilişsel psikolog Axel Cleeremans, adamın normal bir yaşam sürdüğünü, ailesinin olduğunu ve çalıştığını belirtti.
Şikayeti sırasında yapılan IQ testinin sonucu 84 olarak belirlendi.

BEYİNDE BİRİKEN SIVI TAHRİP ETTİ
Doktorlar, hastalığının nedeninin beyninde biriken sıvı olduğunu ve bu durumun 30 yıl boyunca beyninin büyük kısmının tahrip olmasına yol açtığını düşünüyor.
Öte yandan hastalık bebekken teşhis edilmiş ve stent takılmıştı. Ancak 14 yaşındayken stent çıkarıldığında, beyninin büyük bir kısmı aşınmaya başladı.
Geçmişte, bilincin belirli beyin bölgeleriyle bağlantılı olduğu düşünülüyordu; ancak bu tür hikayeler, bilincin yalnızca belirli bir bölge tarafından yönetilmediği fikrini savunan yeni teorilerin ortaya çıkmasına neden oldu.
