İzmit Körfezi'nde deniz suyu kahverengiye dönmesine neden olan renk değişiminin, fitoplankton türü Prorocentrum micans'ın aşırı çoğalmasından kaynaklandığı belirlendi. Körfez'deki değişim havadan görüntülenirken uzmanlar, oluşumun ekosisteme zarar verebileceği konusunda uyarıda bulundu.
Kocaeli'nin İzmit ilçesinde, kıyıya yakın bölgelerde deniz suyu kahverengiye döndü.
Bu dikkat çekici renk değişimi, geniş bir alanda etkili oldu.
Vatandaşlar arasında paniğe neden olay sonrası, yaşanan renk değişiminin nedenini belirlemek için çalışma başlatıldı.
Sudan alınan numuneleri inceleyen KOÜ Fen Edebiyat Fakültesi Biyoloji Bölümü Öğretim Üyesi Prof. Dr. Halim Aytekin Ergül, oluşumun dünyadaki birçok kıyı ekosisteminde rastlanılan bir durum olduğunu belirtti.
"SU SICAKLIKLARININ VE RÜZGAR REJİMİNİN DEĞİŞTİĞİ DÖNEMLERDE RASTLANAN BİR OLUŞUM"
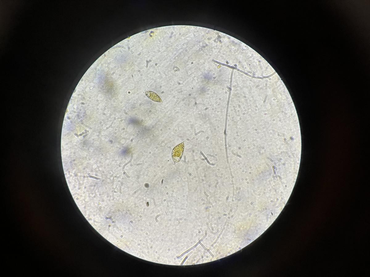
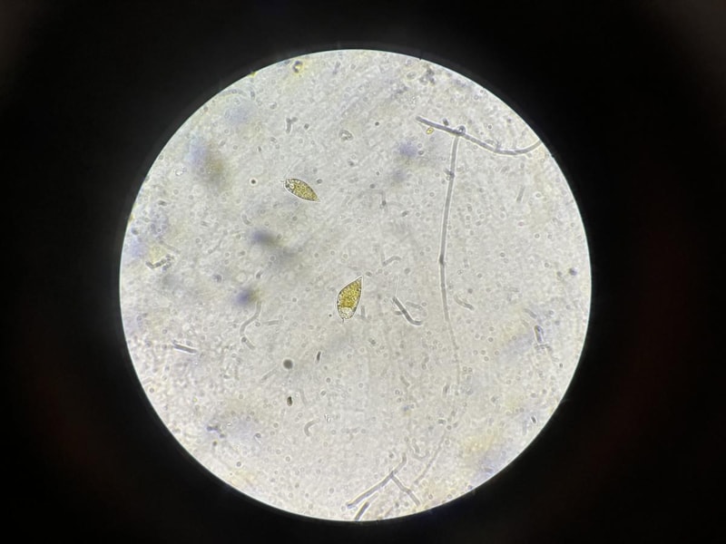
Prof. Dr. Halim Aytekin Ergül, "İncelediğimiz örneklerde gördüğümüz kadarıyla bir fitoplankton grubu olan dinoflagellata türünün aşırı çoğalması nedeniyle meydana gelen bir hadise.
Genellikle 'mevsim geçişi' diye tabir edilen, hava sıcaklıklarının, su sıcaklıklarının, rüzgar rejiminin değiştiği dönemlerde rastlanan bir oluşum. Teknik olarak sınırlı bir hacimdeki mikroorganizma sayısının, dinoflagellata sayısının artışını takiben gerçekleşen bir olay.

"DEŞARJLARIN YOĞUN OLDUĞU BÖLGELERDE ZAMAN ZAMAN RASTLANIYOR"
Elbette istenen bir durum değil ancak İzmit Körfezi'nde, Gemlik Körfezi'nde, benzer kıyı ekosistemlerinde zaman zaman rastladığımız bir oluşum. Elbette bu oluşumların ekosistemdeki diğer canlılara zarar verme potansiyeli var. Özellikle amphipodalar gibi daha çok planktonik veya makrobentik organizmaların bu işlerden zarar görmesi mümkün.
O bakımdan istenmeyen olaylar gibi düşünebiliriz. Fakat kıyı ekosistemlerinde, kentsel deşarjların yoğun olduğu bölgelerde her ne kadar arıtma tesisleri iyi çalışıyor olsa da zaman zaman bu oluşumlara rastlıyoruz." dedi.

"NÜFUS ÇOK KALABALIK, DEŞARJLARIN MİKTARLARI ÇOK FAZLA"
Bu tür oluşumların engellenmesiyle ilgili en etkili yöntemlerin başında atık su arıtma tesislerinin ileri düzeyde arıtım yapan tesislere dönüştürülmesi olduğunu söyleyen Prof. Dr. Ergül, "Bu ileri teknoloji kullanımıyla ilgili İzmit Körfezi'nin etrafında esasen tesislerimiz var ancak öte yandan nüfus çok kalabalık; deşarjların miktarları çok fazla. Hava sıcaklıkları ve su sıcaklıkları da bu organizmaların sevdiği değerlere geldiğinde bu tür oluşumlara rastlıyoruz. Elbette sadece deşarj edilen miktarlar değil, su içerisinde zaten mevcut olan ancak rüzgarlar gibi meteorolojik faktörlerin etkisiyle harekete geçirilen bu besleyici element unsurlarını da dikkate almak gerekir.
Geçtiğimiz hafta havanın biraz rüzgarlı olduğu dönemlerde suyun karışmış olması, akabinde de bu organizmaların, buradaki besleyici elementleri kullanmış olmaları mümkün. Zaten daha önceki olaylar da süreçler de hep bu şekilde tecrübe ettiğimiz süreçlerdi. Burada gördüğümüz organizma teknik olarak 'Prorocentrum micans' denilen bir dinoflagellata türü. Dünya genelinde de bu organizmana yol açtığı alg patlaması olarak bilinen, 'red tide' denilen bu oluşumların meydana gelmesi sık rastlanan hadiseler arasında." diye konuştu.

"CİDDİYE ALINMASI GEREKİR"
Bu oluşumların insan sağlığına doğrudan bir zararı olmadığını söyleyen Prof. Dr. Ergül, "Ancak oluştukları zaman, bulundukları ekosistemdeki diğer organizmaları etkileyebiliyorlar. Daha önce yaptığımız bir çalışmada balıkların besin olarak tükettiği amphipodların solungaçlarını tıkadıklarını ve ölümlerine neden olduklarını görmüştük.
Dolayısıyla zincirleme birbirini etkileyen, ekosistem tahribatlarına neden olması bakımından bu oluşumların zararlarıyla yüzleşiyoruz. İnsanların doğrudan tedirgin olmalarını gerektiren bir hal yok ama hem görsel olarak hem de biraz evvel bahsettiğim ekosistemdeki tahribatlar nedeniyle ciddiye alınması gerekir." dedi.

MÜSİLAJ YORUMU
Müsilaj ile ilgili de açıklamalarda bulunan Prof. Dr. Ergül, "Prorocentrum micans, müsilaj oluşumuna katkı verdiği bilinen organizmalar arasındadır. O bakımdan da ön saflarda yer alan bir organizma olmamakla birlikte, bu oluşuma katkı veren organizmalardan bir tanesidir. Dolayısıyla bu oluşumların engellenebilmesi için mümkün olduğu kadar aktif faaliyet gösterilmesi gerekir. Atık su arıtma tesislerinin etkin çalıştırılması ve ileri teknolojiyle donatılması gerekir." diye konuştu.

MARMARA İÇİN 'NÜFUS' UYARISI
Prof. Dr. Ergül, "Bölgemizdeki nüfus yoğunluğu oldukça fazla ve maalesef her geçen gün bu yoğunluğun arttığını görüyoruz. Bir raporda, her yıl yaklaşık olarak 30 bin kişinin Kocaeli nüfusuna eklendiğini okumuştum. Dolayısıyla da bu kaldırılması çok zor bir yük. Çünkü Kocaeli'ye eklenen her nüfusun öyle ya da böyle denize de bir çıktısı oluyor.
O bakımdan İstanbul başta olmak üzere, Marmara Bölgesi'ndeki nüfusu yoğun olan Kocaeli, Bursa gibi şehirlerimizdeki nüfusun artışıyla ilgili tedbirler düşünülmesi şarttır. Bu elbette kolay bir şey değildir; uzun vadede 5, 10, 20, 50 yıllık perspektiflerde düşünerek tedbirler alınması gerekir. Giderek artan nüfus, bölgenin taşıyabileceği yükü artık zorluyor hatta üzerinde olduğunu da gösteren emarelerle karşılaşıyoruz. Dolayısıyla da çok fazla zaman geçirmeden bu konulara kafa yormak gerekir." dedi.


