- Moleküler biyolog Zi Teng Wang, eline yerleştirdiği RFID mikroçipin parolasını unuttu ve bu nedenle vücudundaki teknolojiye erişemiyor.
- Olay, Wang'ın gösterilerini daha etkileyici hale getirmek için çipi yeniden programlama kararıyla başladı ancak Imgur bağlantısının kapanması ve parolanın unutulması sorun yarattı.
- Mikroçip, parolanın unutulması nedeniyle Wang'ın elinde kilitli kalmış durumda ve biyolog bu durumu hem rahatsız edici hem de komik buluyor.
ABD’nin Missouri eyaletinde yaşayan moleküler biyolog Zi Teng Wang, eline yerleştirdiği bilgisayar çipiyle gerçekleştirdiği gösterilere hazırlanırken beklenmedik bir sorunla karşılaştı. Wang, yaşadığı durumu Facebook üzerinden takipçileriyle paylaştı.
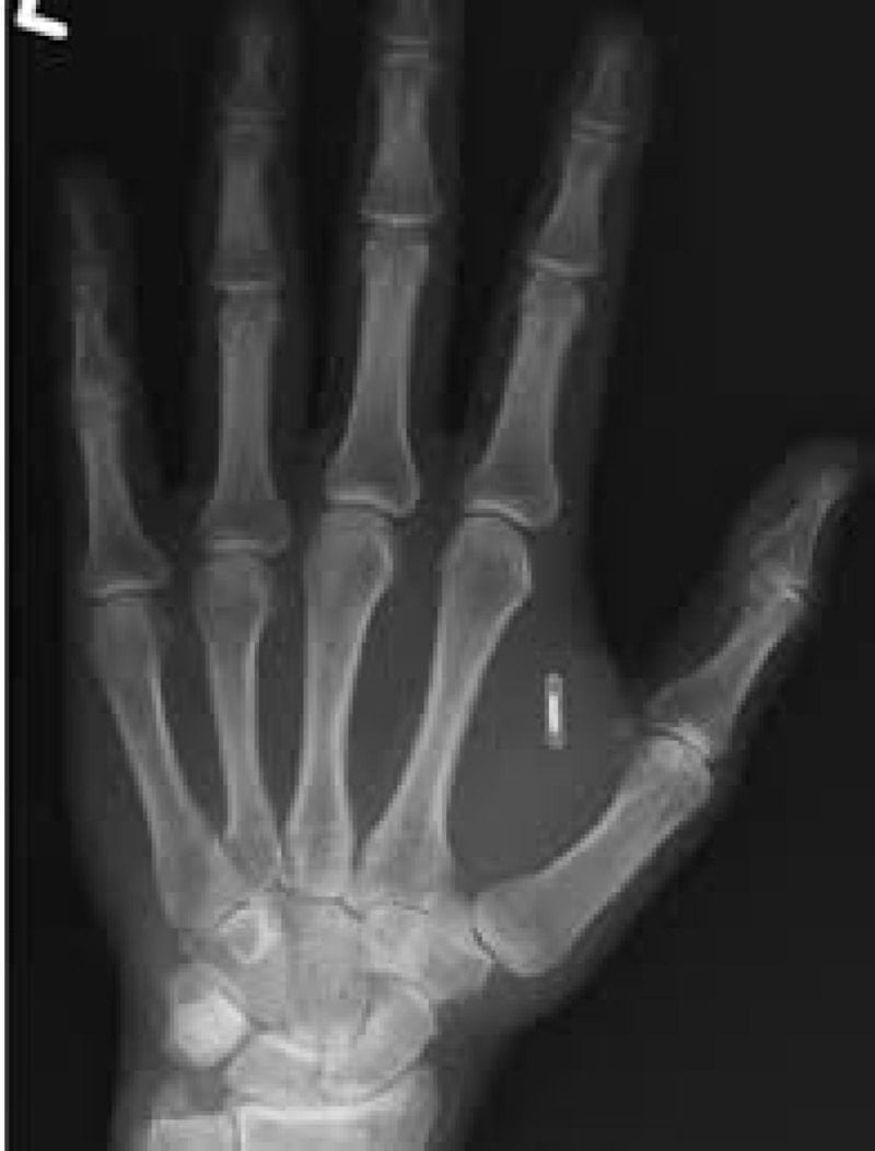
Paylaşılan röntgen görüntüsünde, Wang’ın başparmağı ile işaret parmağı arasındaki ete gömülü mikroçip net bir şekilde görülüyor. Biyolog durumu, “Şu an kendi siberpunk distopya hayatımı yaşıyorum, vücudumdaki teknolojiye erişimim kilitlenmiş durumda ve suç tamamen bende” sözleriyle özetledi.
GÖSTERİLERİ İÇİN ELİNE RFID ÇİP YERLEŞTİRDİ
Olay, Wang’ın yıllar önce eğlenceli gösteriler yapmak için eline bir Radyo Frekansı Tanımlama (RFID) çipi yerleştirmesiyle başladı. Çip, seyircilerin veya başka kişilerin akıllı telefonlarını Wang’ın eline bastırmasıyla ve RFID okuyucu aktif edilerek çalışıyordu.
Ancak biyolog, bu kısmın gizemli veya etkileyici olmadığını fark etti. Wang, “Birinin telefonunu elimin üzerine tekrar tekrar bastırması, cihazın RFID okuyucusunun yerini bulmaya çalışmak gizemli hissettirmiyor” dedi. Ayrıca birçok kişinin okuyucuyu kapalı tuttuğunu, kendi telefonunu kullanmanın ise gösterinin tadını kaçırdığını ekledi.

ÇİPİN ŞİFRESİNİ UNUTTU
Wang, gösterilere daha fazla heyecan katmak için çipi Bitcoin cüzdan adresi ve Imgur’daki bir görsele bağlantı verecek şekilde yeniden programladı.
Sorun ise birkaç yıl önce Imgur bağlantısının kapanmasıyla başladı. Çipi yeniden yazmak isteyen Wang, aygıtın parolasını unuttuğunu fark etti. Arkadaşları, çipin kilidini açmanın tek yolunun avuç içine bir RFID okuyucu takarak tüm olası kombinasyonları denemek olduğunu söyledi. Bu nedenle çip, unutulan parola ile birlikte Wang’ın elinde kilitli kaldı.
"RAHATSIZ EDİCİ AMA KOMİK"
Wang, durumu şu sözlerle ifade etti:
“Vücudumdaki kendi teknolojimden hâlâ mahrumum. Bu rahatsız edici ama aynı zamanda komik.”
